My Public Profile

Profile image of Mario Roccuzzo
Public ITI profile page of

Mario Roccuzzo

Torino, Italy

  • ITI Honorary Fellow
  • registered since 1998

Academy Author Profile

Mario Roccuzzo lectures in periodontology at the Universities of Torino, Milano and Bologna. He is an attending member of the Division of Maxillofacial Surgery at the University of Turin, Italy and Adjunct Clinical Assistant Professor at the University of Michigan, USA.

He is an active member of the Italian Society of Periodontology, an ITI Fellow, and he sits on the ITI Leadershio Develpoment Program Committee. He serves on the editorial board of Clinical Oral Implants Research, the International Journal of Periodontics and Restoraive  Dentistry and the International Journal of Esthetic Dentistry. Winner of the 2013 Osteology Clinical Research Prize.

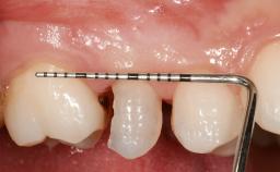
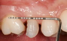
Academy content by Mario Roccuzzo (17 items)

Upcoming ITI events Mario Roccuzzo lectures at

  • Oct 13, 2026

    "Il trattamento ricostruttivo della peri-implantite: mito o realtà clinica?" Dr Mario Roccuzzo

    Camerano (AN), Italy

    Study Club Meeting

ITI events Mario Roccuzzo has lectured at since 2021

  • Feb 4, 2021

    Ankara SC I, 2nd online joint event

    Online Event, Turkey

    Study Club Meeting

  • Oct 6, 2021

    ITI Perú Education Day

    Online Event, Peru

    Study Club Meeting

Statement on Financial Relationships and Conflict of Interests

Mario Roccuzzo has no financial relationships to disclose regarding authorship of ITI educational content and there are no conflicts of interest.

In case of content marked as "provided by industry partner", the author/speaker was reimbursed by said industry partner.