Digital Management of Edentulous Patients - Congress Lectures - Home
Prosthodontic Planning and Procedures
Digital Management of Edentulous Patients
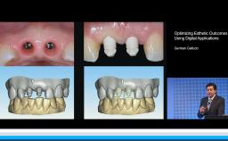
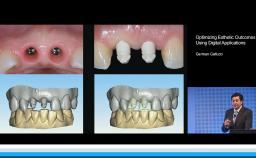
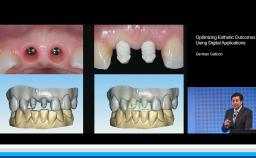
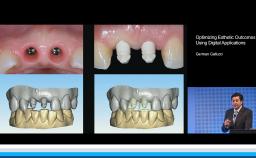
This presentation identifies the current and potential future uses for digital techniques in the management of edentulous patients. Reasons to embrace digital techniques are presented. Situations in which digital procedures may provide few benefits are also discussed. Reasons for adopting a digital approach in the treatment of edentulous patients include recognized or perceived benefit to the patient, practice efficiency, and cost containment.
At the end of this Congress Lecture you should be able to…
- identify those elements in the management of edentulous patients with implant-retained prostheses that are most influenced by digital processes
- identify those factors that interfere with the adoption of a totally digital approach in the management of edentulous patients
- discuss the future of digital procedures and their relationship to prosthodontic care
- Duration
- 26 minutes
- Source
- ITI World Symposium 2017
- CPD/CME
- 0.43 hours
- Purchase price
- 13 Academy Coins
Share this page
Download the QR code with a link to this page and use it in your presentations or share it on social media.
Download QR code