Congress Lecture

5.0The average rating is 5 stars out of 5.
Prosthodontic Planning and Procedures

Fixed Implant Rehabilitations in Edentulous Patients

German Gallucci

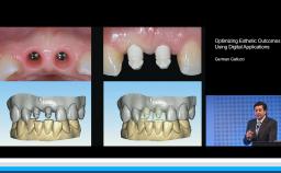
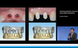
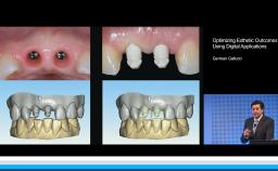
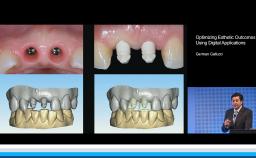
This lecture describes the treatment approach for completely edentulous patients. Treatment sequence, implant number and distribution, and the implant-prosthetic design are all thoroughly discussed. The speaker presents a staged approach to full-arch rehabilitation, involving strategic retention of the residual dentition to support an interim prosthesis during the healing phase. Other techniques presented include use of transitional implants and segmentation of full-arch prostheses. Evidence is provided to show how the anterior-posterior distribution of implants impacts on their survival rate.

At the end of this Congress Lecture you should be able to…

  • determine the appropriate number and location of implants in edentulous patients
  • describe various approaches for rehabilitation of edentulous patients
  • describe proper prosthesis design for edentulous patients
Duration
58 minutes
Source
ITI Congress Greece & Cyprus 2015
CPD/CME
0.97 hours
Purchase price
29 Academy Coins
Publication date: Dec 5, 2017 Last review date: Nov 28, 2022 Next review date: Nov 28, 2025
  • 3 - Proficient to Expert
  • Congress Lecture
  • English
  • Languages
  • Prosthodontic Planning & Procedures

ITI QR code Mvc

Share this page

Download the QR code with a link to this page and use it in your presentations or share it on social media.

Download QR code
QR code