My Public Profile

Profile image of German Gallucci
Public ITI profile page of

German Gallucci

Boston, United States

  • ITI Fellow
  • registered since 2003

Academy Author Profile

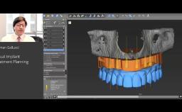
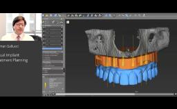
Dr. Gallucci is the Chair of the Department of Restorative and Biomaterial Siences at Harvard School of Dental Medicine. ITI Fellow since 2004, Chair of the ITI Scholarship Center at Harvard.

Academy content by German Gallucci (42 items)

Academy content edited by German Gallucci (1 item)

ITI events German Gallucci has lectured at since 2021

  • May 23, 2021

    ITI Annual Fellows & Members meeting

    Moscow, Russia

    Annual Section Meeting

  • Oct 20, 2021

    Perú Education Day II

    Online Event, Peru

    Study Club Meeting

Statement on Financial Relationships and Conflict of Interests

German Gallucci has no financial relationships to disclose regarding authorship of ITI educational content and there are no conflicts of interest.

In case of content marked as "provided by industry partner", the author/speaker was reimbursed by said industry partner.