Mandibular Overdenture Supported by a CAD/CAM-milled Bar with Long Distal Extensions on Two Conventionally Loaded Implants - Clinical Case Report - Home
Clinical Case Report
Mandibular Overdenture Supported by a CAD/CAM-milled Bar with Long Distal Extensions on Two Conventionally Loaded Implants
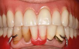
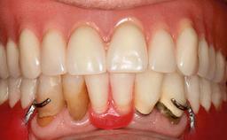
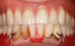
An 87-year-old man was referred to our Division of Gerodontology and Removable Prosthodontics at the University Clinics of Dental Medicine, Geneva, Switzerland for dental implant therapy. He was retired and led a very active social life, keeping himself busy in the company of his many grandchildren and with frequent travels to Italy. The patient’s past medical and drug histories revealed that he suffered from angina, asthma, and arthritis of the knee. He was allergic to penicillin. His regular prescription medications included anti-anginal and antiasthmatic drugs, along with occasional non-steroidal anti- inflammatory drugs for joint pain. Otherwise, he was a healthy patient who occasionally consumed alcohol on social occasions and did not smoke. A detailed dental history revealed that he had lost his teeth to chronic adult periodontal disease and had had an edentulous maxilla for over 20 years.
- Surgical SAC classification
- Advanced
- Prosthodontic SAC classification
- Advanced
- Source
- Treatment Guide 9
- Purchase price
- 10 Academy Coins
- CPD/CME
- 0.25 hours
Share this page
Download the QR code with a link to this page and use it in your presentations or share it on social media.
Download QR code