Congress Lecture

3.5The average rating is 4 stars out of 5.
Practising Implant Dentistry and Self Directed Learning

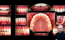
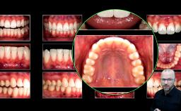
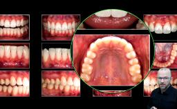
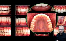
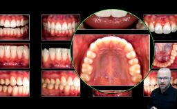
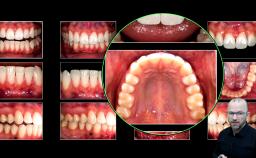
Digital Photography: An Instrument to Avoid Complications?

Alessandro Devigus

This lecture clearly demonstrates the indications and usefulness of digital photography in everyday practice. Macro photography, the most important aspect in dental digital photography, is defined in addition to other features such as exposure, depth of field, and sharpness. At the end of the lecture, you will have an overview of the relevant settings for intraoral photography with a digital camera, and you will be able to monitor the image quality. You will know the steps for a successful shade selection, and define your own dental image portfolio.

At the end of this Congress Lecture you should be able to…

  • describe the indications of digital photography
  • define macro photography
  • recognize the elements of a digital camera
  • discuss the settings for intraoral photography
Duration
32 minutes
Source
ITI Congress Benelux 2016
CPD/CME
0.53 hours
Purchase price
16 Academy Coins
Publication date: Aug 30, 2016 Last review date: Aug 15, 2023 Next review date: Aug 15, 2026
  • 3 - Proficient to Expert
  • Congress Lecture
  • English
  • Languages
  • Practising Implant Dentistry & Self Directed Learning

ITI QR code Mvc

Share this page

Download the QR code with a link to this page and use it in your presentations or share it on social media.

Download QR code
QR code