Congress Lecture

0.0The average rating is 0 stars out of 5.
Practising Implant Dentistry and Self Directed Learning

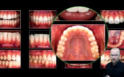
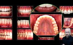
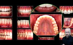
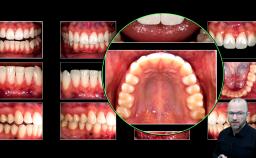
Patient Acceptance: Understanding the Key Elements of a Treatment Plan Presentation

Steven Bongard

This is a recording of Steven Bongard's ITI Webinar from December 2, 2020.

Planning for patient acceptance depends on an understanding of the barriers that prevent patients from agreeing to treatment. This webinar will discuss the typical barriers to case acceptance and how to develop a patient journey designed to overcome these objections.

At the end of this Congress Lecture you should be able to…

  • explain the need for structure and strategy in case presentation
  • describe the barriers to case acceptance
  • discuss the need for a well-defined patient journey designed to overcome these objections

Duration
59 minutes
Source
ITI Academy live webinar
CPD/CME
0 hours
Purchase price
0 Academy Coins
Publication date: Dec 21, 2020 Last review date: Dec 14, 2023 Next review date: Dec 14, 2026
  • 1 - Beginner
  • Congress Lecture
  • English
  • Languages
  • Practising Implant Dentistry & Self Directed Learning

ITI QR code Mvc

Share this page

Download the QR code with a link to this page and use it in your presentations or share it on social media.

Download QR code
QR code