Congress Lecture

5.0The average rating is 5 stars out of 5.
Practising Implant Dentistry and Self Directed Learning

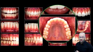
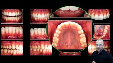
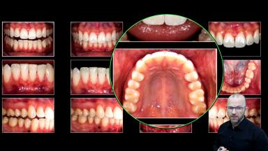
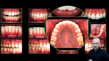
Dental Photography for Dental Technicians

Krzysztof Chmielewski

In this webinar, Krzysztof Chmielewski talks about his abundant experience with and knowledge of dental photography, highlighting the importance of photographic documentation for peer-to-peer and patient communication. He gives tips on many aspects of dental photography that you can take directly to daily pratice.

At the end of this webinar you should be able to…

  • describe the different types of dental photography
  • explain how to apply dental photography for documentation
  • explain camera settings for intra-oral photography and portraits
  • discuss the importance of color, shade, shape and texture
  • explain how to photograph products and equipment
  • specifically discuss dental lab photography
  • discuss equipment recommendations and accessories
Duration
60 minutes
Source
ITI Webinar
CPD/CME
1 hours
Purchase price
30 Academy Coins
Publication date: Oct 18, 2024 Last review date: Oct 11, 2024 Next review date: Oct 11, 2027
  • 1 - Beginner
  • Congress Lecture
  • English
  • Languages
  • Practising Implant Dentistry & Self Directed Learning

ITI QR code Mvc

Share this page

Download the QR code with a link to this page and use it in your presentations or share it on social media.

Download QR code
QR code