Congress Lecture

5.0The average rating is 5 stars out of 5.
Prosthodontic Planning and Procedures

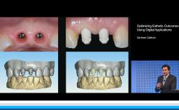
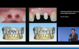
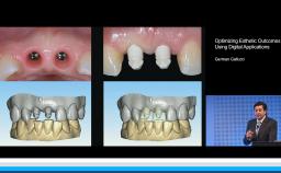
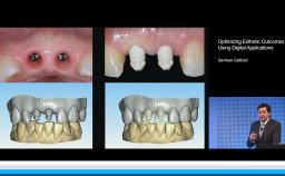
Digital Management of Edentulous Patients

Steven Eckert

This presentation identifies the current and potential future uses for digital techniques in the management of edentulous patients. Reasons to embrace digital techniques are presented. Situations in which digital procedures may provide few benefits are also discussed. Reasons for adopting a digital approach in the treatment of edentulous patients include recognized or perceived benefit to the patient, practice efficiency, and cost containment.

At the end of this Congress Lecture you should be able to…

  • identify those elements in the management of edentulous patients with implant-retained prostheses that are most influenced by digital processes
  • identify those factors that interfere with the adoption of a totally digital approach in the management of edentulous patients
  • discuss the future of digital procedures and their relationship to prosthodontic care
Duration
26 minutes
Source
ITI World Symposium 2017
CPD/CME
0.43 hours
Purchase price
13 Academy Coins
Publication date: Jun 6, 2017 Last review date: May 30, 2023 Next review date: May 30, 2026
  • 3 - Proficient to Expert
  • Congress Lecture
  • English
  • Languages
  • Prosthodontic Planning & Procedures

ITI QR code Mvc

Share this page

Download the QR code with a link to this page and use it in your presentations or share it on social media.

Download QR code
QR code