Replacement of a Failing Upper Left Central Incisor: Immediate Placement of an RC Bone Level Implant and Provisionalization - Clinical Case Report - Home
Clinical Case Report
Replacement of a Failing Upper Left Central Incisor: Immediate Placement of an RC Bone Level Implant and Provisionalization
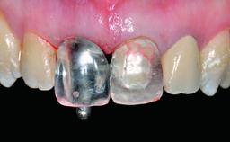
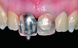
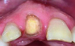
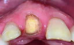
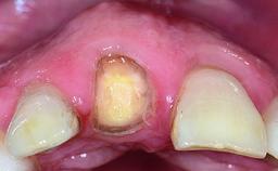
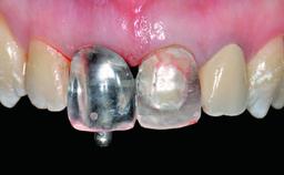
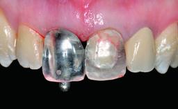
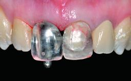
A healthy 23-year-old female patient was referred for a consultation on replacing tooth 21 with an implant-supported restoration. The patient had recently moved to the area and reported a history of endodontic and periodontal treatment for tooth 21. The tooth had been deemed non-restorable by her previous periodontist but since she was going to be moving, he recommended consulting to a dentist in her new city to continue her treatment. A review of her medical history yielded no significant findings and no known drug allergies. The analysis of her smile revealed a medium to high symmetrical smile line and a slightly discolored tooth 21.
- Surgical SAC classification
- Complex
- Prosthodontic SAC classification
- Advanced
- Source
- Treatment Guide 10
- Purchase price
- 10 Academy Coins
- CPD/CME
- 0.15 hours
Share this page
Download the QR code with a link to this page and use it in your presentations or share it on social media.
Download QR code