Replacement of an Upper Right Central Incisor with a Root Fracture, Early Placement of an RC Bone Level Implant, Variobase Abutment - Clinical Case Report - Home
Clinical Case Report
Replacement of an Upper Right Central Incisor with a Root Fracture, Early Placement of an RC Bone Level Implant, Variobase Abutment
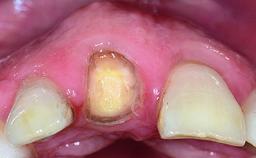
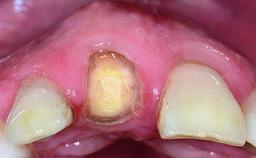
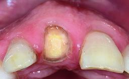
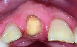
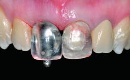
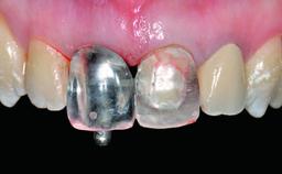
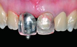
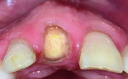
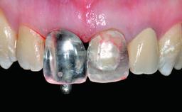
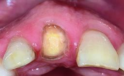
A healthy 28-year-old female patient presented for a consultation on treatment options to restore her upper right central incisor. At the clinical examination, the tooth responded to percussion and palpation. The gingiva was red and slightly swollen, with a mid-facial probing depth of 10 mm. The upper right lateral incisor showed no signs or symptoms, did not respond to exploration and percussion, and the vitality test was positive. The periapical radiograph revealed that tooth 11 had been endodontically treated, with no lesion evident at the apex. A small radiopaque calcified structure surrounded by a narrow radiolucent zone (3 × 3 mm) was present at the apex of tooth 12.
                    - Surgical SAC classification
 - Advanced
 - Prosthodontic SAC classification
 - Advanced
 
- Source
 - Treatment Guide 10
 - Purchase price
 - 10 Academy Coins
 - CPD/CME
 - 0.15 hours
 
Share this page
Download the QR code with a link to this page and use it in your presentations or share it on social media.
Download QR code