Implant Placement with Simultaneous SFE: Lateral Window Technique with a Composite Graft - Clinical Case Report - Home
Clinical Case Report
Implant Placement with Simultaneous SFE: Lateral Window Technique with a Composite Graft
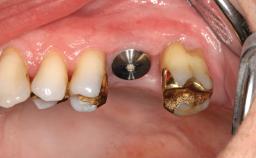
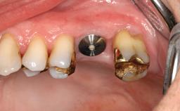
A 68-year-old woman presented for treatment to replace her maxillary right second premolar and first molar. Three years previously, her general dental practitioner had extracted tooth 16 because of a perforated root canal with a developing interradicular lesion. The patient was satisfied with the chewing function of her premolar occlusion until tooth 15 became symptomatic 2 months before presentation. Since a root fracture had developed, this tooth had to be extracted as well. The patient was a non-smoker. She had continuously received dental care by her private practitioner. Her plaque control and gingival health was, for the most part, excellent. Periodontal probing depths never exceeded 3 mm. She displayed a medium smile line; her esthetic demands were moderate to high. Her gingival biotype was classified as medium, and the dentition revealed signs of bruxism.
- Surgical SAC classification
- Complex
- Prosthodontic SAC classification
- Advanced
- Source
- Treatment Guide 5
- Purchase price
- 10 Academy Coins
- CPD/CME
- 0.25 hours
Share this page
Download the QR code with a link to this page and use it in your presentations or share it on social media.
Download QR code