Soft-Tissue Volume Augmentation Using a Connective-Tissue Graft Harvested from the Maxillary Tuberosity - Clinical Case Report - Home
Clinical Case Report
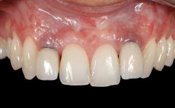
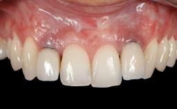
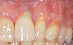
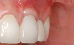
Soft-Tissue Volume Augmentation Using a Connective-Tissue Graft Harvested from the Maxillary Tuberosity
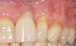
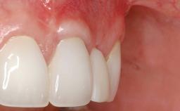
In 1983, a 51-year-old non-smoking patient was referred for the treatment of moderate chronic periodontitis. At the initial examination, 47% of sites exhibited probing depths of 4 to 6 mm. Periodontal therapy consisted of initial periodontal treatment including oral-hygiene instructions and supra- and subgingival debridement, followed by periodontal surgery to eliminate residual pockets.
- Surgical SAC classification
- Straightforward
- Prosthodontic SAC classification
- Straightforward
- Source
- Treatment Guide 12
- Purchase price
- 10 Academy Coins
- CPD/CME
- 0.15 hours
Share this page
Download the QR code with a link to this page and use it in your presentations or share it on social media.
Download QR code