Case

5.0The average rating is 5 stars out of 5.

Replacement of a Compromised Upper Right Central Incisor: Hard- and Soft-tissue Augmentation, Late Placement of an RC Bone Level Implant

Paolo Casentini

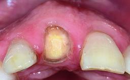
A 36-year-old male patient with a compromised maxillary central incisor was referred by his general dentist for consultation. The patient’s chief complaints were the gradual debonding of a temporary crown on the right central incisor and unsatisfactory esthetics due to an increasing diastema between the right central and lateral incisors. The patient reported a traumatic event some years previously, when a crown had been placed after root-canal treatment. The referring dentist wanted to provide a new crown restoration, but was concerned about the condition of the residual root. Anamnesis was negative for any other dental or periodontal pathology in the remaining dentition. The patient reported taking no medications: He was a smoker (10 to 15 cigs/day) and had realistic esthetic expectations.

Surgical SAC classification
Complex
Prosthodontic SAC classification
Advanced
Source
Treatment Guide 10
Purchase price
10 Academy Coins
CPD/CME
0.25 hours

General information

Case Type Single-Tooth Space
Jaw Maxilla
Area Anterior
# of Teeth 1
# of Implants 1
Type of Implants Two-Piece
Attachment Two-Piece
Bone Augmentation Horizontal|Simultaneous|Staged
Augmentation Materials Xenogenous|Membrane
Guided Surgery No
Soft Tissue Grafting Simultaneous
Abutment Type CAD/CAM
Prosthesis Type FDP

Esthetic Risk Assessment

Esthetic Risk Factors Low Medium High
Medical Status Healthy Compromised
Smoking Habit Non-smoker Light smoker (< 10 cigarettes per day) Heavy smoker (>= 10 cigarettes per day)
Patient's Esthetic Expectations Low Medium High
Lip Line No exposure of papillae Exposure of papillae Full exposure of mucosa margin
Periodontal Phenotype Low-scalloped, thick Medium-scalloped, medium-thick High-scalloped, thin
Shape of Tooth Crowns Rectangular Triangular
Infection at Implant Site None Chronic Acute
Bone Level at Adjacent Teeth <= 5 mm to contact point 5.5 to 6.5 mm to contact point > 7 mm to contact point
Prosthodontic Status of Neighboring Teeth Virgin Restored
Width of Edentulous Span 1 tooth (>= 7 mm) 1 tooth (< 7 mm) 2 teeth or more
Soft Tissue Anatomy Intact Defective
Bone Volume Horizontally and vertically sufficient Horizontally deficient Deficient vertically or deficient vertically AND horizontally
  • * General SAC assessment modifiers that are also part of the ERA. To avoid redundancy they are listed in this section even if no complete ERA has been made.

  • ** Not applicable to the ERA of immediate placement cases and replaced by "Socket Integrity" listed below under "Surgical SAC Classification". For all other placement types this value is a classification determinant and listed here even if no complete ERA has been made.

Surgical SAC classification

SAC Level Complex
Defining Characteristics One missing tooth to be replaced by an implant-borne prosthesis
Modality -
Placement Protocol Early or late implant placement
Tooth Site -
Socket Morphology -
Socket Integrity -
Bone Volume Deficient horizontally, requiring prior grafting
Anatomic Risk Low
Esthetic Risk Medium
Complexity Moderate
Risk of Complications Moderate

Prosthodontic SAC classification

SAC Level Advanced
Defining Characteristics One missing tooth to be replaced by an implant-borne crown
Loading Protocol Conventional or early
Retention Screw-retained Screw-retained
Maxillomandibular Relationship Angle Class I and III
Mesio-Distal Space Symmetry +/- 1 mm of contra-lateral tooth
Inter-Arch Distance -
Bruxism -
Esthetic Risk Medium
Provisional Implant-Supported Prosthesis Prosthodontic margin > 3 mm apical to mucosal margin Prosthodontic margin > 3 mm apical to mucosal margin
Interim Prosthesis during Healing Removable Removable
Occlusion/Articulation -
Occlusal Scheme/Issues -

Surgical SAC Modifiers

Periodontal Status Healthy

Prosthodontic SAC Modifiers

Soft Tissue Contour and Volume Slightly compromised

General SAC Modifiers

Oral Hygiene and Compliance Sufficient
Access Adequate
Craniofacial/Skeletal Growth Completed
Publication date: Nov 7, 2017 Last review date: Oct 30, 2023 Next review date: Oct 30, 2026

ITI QR code Mvc

Share this page

Download the QR code with a link to this page and use it in your presentations or share it on social media.

Download QR code
QR code