Surgical Treatment of Peri-Implantitis in the Posterior Mandible Associated with Hard- and Soft-Tissue Reconstruction - Clinical Case Report - Home
Clinical Case Report
Surgical Treatment of Peri-Implantitis in the Posterior Mandible Associated with Hard- and Soft-Tissue Reconstruction
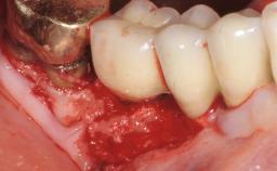
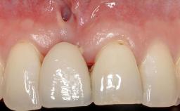
Paolo Casentini demonstrates that peri-implantitis can be successfully treated even at an advanced stage. He discusses a case in which the existing implants and prostheses were both retained while regenerating the defect and creating a band of keratinized tissue. A 69-year-old female patient was referred by her general dentist for evaluation of a recurrent infection at previously placed and restored implants in the posterior left mandible. The patient’s chief complaint was recurrent swelling and pain in the molar region of the left posterior mandible with discomfort during brushing in the same area. The patient reported receiving two implants (36 and 37) nine years earlier.
- Surgical SAC classification
- -
- Prosthodontic SAC classification
- -
- Source
- Treatment Guide 13
- Purchase price
- 10 Academy Coins
- CPD/CME
- 0.25 hours
Share this page
Download the QR code with a link to this page and use it in your presentations or share it on social media.
Download QR code