Resective Surgical Treatment of Peri-Implantitis Including Implantoplasty - Clinical Case Report - Home
Clinical Case Report
Resective Surgical Treatment of Peri-Implantitis Including Implantoplasty
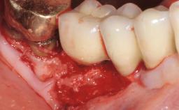
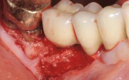
In this case, Myroslav Solonko, Ignacio Sanz Sánchez and Mariano Sanz present a treatment that aims to eliminate exposed implant threads by modifying the implant surface, converting a moderately-rough surface into a smooth surface.
A 63-year-old male patient was referred to the post-graduate periodontal clinic of the Complutense University of Madrid for the treatment of peri-implantitis. According to the patient’s record, all his maxillary teeth had been extracted ten years previously due to severe periodontitis, and a full-mouth implant-supported restoration on eight implants was placed. No supportive periodontal therapy was provided apart from occasional check-ups by the restorative dentist.
- Surgical SAC classification
- -
- Prosthodontic SAC classification
- -
- Source
- Treatment Guide 13
- Purchase price
- 10 Academy Coins
- CPD/CME
- 0.25 hours
Share this page
Download the QR code with a link to this page and use it in your presentations or share it on social media.
Download QR code