Congress Lecture

0.0The average rating is 0 stars out of 5.
Prosthodontic Planning and Procedures

Young ITI Lounge: Screw vs Cement-retained Implant Prosthesis

Lin Dan, Sindhu Mohan Kumar, Dwi Nugroho Juanda

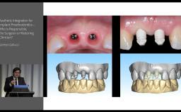
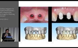
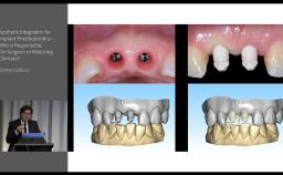
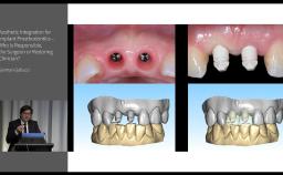
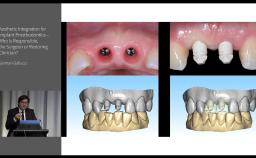
This session aims to provide a comprehensive comparison between screw-retained and cement-retained implant prostheses. The focus is on the clinical performance, including complications and failures, of implant-supported reconstructions in patients with edentulous sites treated with either screw or cement retention. The discussion also explores the advantages and disadvantages of both methods, providing a balanced perspective for clinicians.

Young ITI Lounge aims to provide high level discussions on trending topics within the Young ITI, featuring young clinicians from the SEA Region together with Young ITI clinicians from other parts of the world.

At the end of this webinar, you should be able to...

  • discuss the differences between screw-retained and cement-retained implant prostheses in clinical performance, including complications and failures
  • explain the advantages and disadvantages of both cement- and screw-retained implant-supported reconstructions
  • elaborate on the variety of methods to connect a restoration to the implant other than just cement or screw retention
Duration
56 minutes
Source
ITI Webinar - Young ITI Lounge
CPD/CME
0.93 hours
Purchase price
28 Academy Coins
Publication date: Jan 12, 2025 Last review date: Jan 5, 2025 Next review date: Jan 5, 2028
  • 1 - Beginner
  • Congress Lecture
  • English
  • Languages
  • Prosthodontic Planning & Procedures

ITI QR code Mvc

Share this page

Download the QR code with a link to this page and use it in your presentations or share it on social media.

Download QR code
QR code