Congress Lecture

5.0The average rating is 5 stars out of 5.
Prosthodontic Planning and Procedures

Removable Options for the Fully Edentulous Patient

Anthony John Dickinson

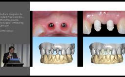
This lecture presents the realistic expectations for removable prosthetic therapy from the perspective of the geriatric patient: primarily, an esthetic and functional outcome with long-term stability and low risk of complications; and secondarily, the least number of surgical interventions, the least possible pain and morbidity, and a cost-effective treatment.To fulfill these expectations, a common-sense management protocol for geriatric patients is presented and illustrated using two well-documented clinical cases. This lecture emphasizes an appropriate therapeutic sequence to achieve the planned outcome, the goal of which is to transition the patient in manageable stages, thereby reducing the adaptive requirements during therapy.

At the end of this Congress Lecture you should be able to…

  • discuss the considerations for geriatric patients undergoing implant therapy
  • describe the treatment plan sequence for geriatric patients with implants
  • state the goal of the therapeutic sequence in geriatric patients with implants
Duration
30 minutes
Source
ITI Annual Conference 2015 - Istanbul, Turkey
CPD/CME
0.5 hours
Purchase price
15 Academy Coins
Publication date: Dec 20, 2015 Last review date: Apr 24, 2023 Next review date: Apr 24, 2026
  • 1 - Beginner
  • Congress Lecture
  • English
  • Languages
  • Prosthodontic Planning & Procedures

ITI QR code Mvc

Share this page

Download the QR code with a link to this page and use it in your presentations or share it on social media.

Download QR code
QR code