Case

5.0The average rating is 5 stars out of 5.

Replacement of Two Central Incisors with Non-Splinted Crowns on Tissue-Level Implants

William Christopher Martin, James Ruskin

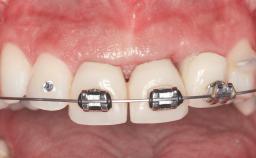
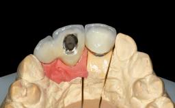
A 28-year-old female patient presented to our clinic in 2000 with failing teeth 11 and 21. She reported no general medical conditions that would prevent routine restorative and surgical procedures. She was experiencing no pain, but reported that the teeth were mobile and would like to replace them with something more permanent. Upon an extraoral and intraoral clinical examination and radiographic review, teeth 11 and 21 exhibited external and internal resorption, class II mobility, and periapical pathology. Given their poor prognosis for long-term survival, it was determined that they should be extracted. Several treatment options were considered, ranging from a conventional fixed dental prosthesis to single (cantilevered restoration) or multiple dental implants. Considering the patient’s desire to have individual teeth and the available architecture of the hard and soft tissue, it was determined that adjacent implantsupported restorations should be explored.

Surgical SAC classification
Advanced
Prosthodontic SAC classification
Complex
Source
Treatment Guide 6
Purchase price
10 Academy Coins
CPD/CME
0.15 hours

General information

Case Type Short Space
Jaw Maxilla
Area Anterior
# of Teeth 2
# of Implants 2
Type of Implants One-Piece
Attachment One-Piece
Bone Augmentation No
Augmentation Materials -
Guided Surgery No
Soft Tissue Grafting None
Abutment Type Customized
Prosthesis Type FDP

Esthetic Risk Assessment

Esthetic Risk Factors Low Medium High
Medical Status Healthy Compromised
Smoking Habit Non-smoker Light smoker (< 10 cigarettes per day) Heavy smoker (>= 10 cigarettes per day)
Patient's Esthetic Expectations Low Medium High
Lip Line No exposure of papillae Exposure of papillae Full exposure of mucosa margin
Periodontal Phenotype Low-scalloped, thick Medium-scalloped, medium-thick High-scalloped, thin
Shape of Tooth Crowns Rectangular Triangular
Infection at Implant Site None Chronic Acute
Bone Level at Adjacent Teeth <= 5 mm to contact point 5.5 to 6.5 mm to contact point > 7 mm to contact point
Prosthodontic Status of Neighboring Teeth Virgin Restored
Width of Edentulous Span 1 tooth (>= 7 mm) 1 tooth (< 7 mm) 2 teeth or more
Soft Tissue Anatomy Intact Defective
Bone Volume Horizontally and vertically sufficient Horizontally deficient Deficient vertically or deficient vertically AND horizontally
  • * General SAC assessment modifiers that are also part of the ERA. To avoid redundancy they are listed in this section even if no complete ERA has been made.

  • ** Not applicable to the ERA of immediate placement cases and replaced by "Socket Integrity" listed below under "Surgical SAC Classification". For all other placement types this value is a classification determinant and listed here even if no complete ERA has been made.

Surgical SAC classification

SAC Level Advanced
Defining Characteristics Up to three missing teeth to be replaced with an implant-borne prosthesis or prostheses
Modality -
Placement Protocol Early or late implant placement
Tooth Site -
Socket Morphology -
Socket Integrity -
Bone Volume Horizontally and vertically sufficient
Anatomic Risk Low
Esthetic Risk High
Complexity Moderate
Risk of Complications Moderate

Prosthodontic SAC classification

SAC Level Complex
Defining Characteristics Up to three missing teeth to be replaced with an implant-borne restoration or restorations
Loading Protocol Immediate
Retention Cemented, with prosthesis margin < 3mm submucosal Cemented, with prosthesis margin < 3mm submucosal
Maxillomandibular Relationship -
Mesio-Distal Space Adequate for the replacement of all missing teeth
Inter-Arch Distance -
Bruxism Absent
Esthetic Risk High
Provisional Implant-Supported Prosthesis Prosthodontic margin >3 mm apical to mucosal crest Prosthodontic margin >3 mm apical to mucosal crest
Interim Prosthesis during Healing Fixed Fixed
Occlusion/Articulation Harmonious
Occlusal Scheme/Issues -

Surgical SAC Modifiers

Periodontal Status Healthy

Prosthodontic SAC Modifiers

Soft Tissue Contour and Volume Ideal

General SAC Modifiers

Oral Hygiene and Compliance Good
Access Adequate
Craniofacial/Skeletal Growth Completed
Publication date: Oct 13, 2014 Last review date: Apr 10, 2023 Next review date: Apr 10, 2026

ITI QR code Mvc

Share this page

Download the QR code with a link to this page and use it in your presentations or share it on social media.

Download QR code
QR code