Congress Lecture

0.0The average rating is 0 stars out of 5.
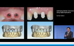
Prosthodontic Planning and Procedures

Restoration - Hands-on exercise 4

Charlotte Stilwell

Duration
0 minutes
Source
CPD/CME
0 hours
Purchase price
0 Academy Coins
Publication date: Feb 20, 2020 Last review date: Feb 20, 2023 Next review date: Feb 20, 2026
  • Congress Lecture
  • English
  • Languages
  • Prosthodontic Planning & Procedures

ITI QR code Mvc

Share this page

Download the QR code with a link to this page and use it in your presentations or share it on social media.

Download QR code
QR code