Congress Lecture

0.0The average rating is 0 stars out of 5.
Surgical Planning and Procedures

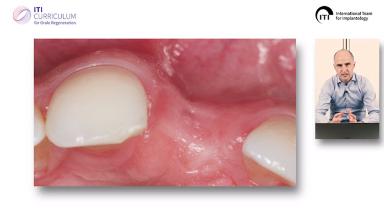
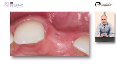
Curriculum für Orale Regeneration: Sofortimplantation

Stefan Fickl

Duration
99 minutes
Source
ITI Curriculum für Orale Regeneration 2021
CPD/CME
0 hours
Purchase price
0 Academy Coins
Publication date: Apr 21, 2021 Last review date: Apr 21, 2023 Next review date: Apr 21, 2026
  • Congress Lecture
  • German
  • Languages
  • Surgical Planning & Procedures

ITI QR code Mvc

Share this page

Download the QR code with a link to this page and use it in your presentations or share it on social media.

Download QR code
QR code