
Immediate Loading of Four Implants in the Mandible and Six Implants in the Maxilla and Final Restoration with a Full-Arch Metal Framework FDP and a Full-Arch CAD/CAM Zirconia Framework FDP - Clinical Case Report - Home
Clinical Case Report
Immediate Loading of Four Implants in the Mandible and Six Implants in the Maxilla and Final Restoration with a Full-Arch Metal Framework FDP and a Full-Arch CAD/CAM Zirconia Framework FDP
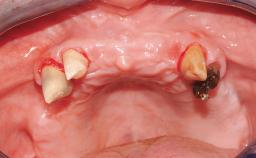
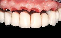
A 65-year-old female patient with a failing residual maxillary dentition and a complete mandibular removable denture was referred for consultation and treatment. The patient’s chief complaint was that her upper residual teeth were mobile and she was unable to chew. The patient also asked us to improve the esthetic appearance of her smile. The patient’s desire was a stable and comfortable dentition in both jaws, and she specifically asked for a fixed rehabilitation. The patient reported a history of recurrent caries, endodontic complications, and periodontal disease as main reasons for previous teeth extractions. The anamnesis was negative for bruxism and TMJ disorders. The patient had no systemic diseases, was not on any medication,and did not smoke. The extraoral examination revealed a medium lip line, a wide diastema between the two central incisors (which, according to the patient, had appeared recently), and a partial collapse of the perioral soft tissues, probably due to loss of the correct vertical dimensions.

- Surgical SAC classification
- Complex
- Prosthodontic SAC classification
- Complex
- Source
- Treatment Guide 4
- Purchase price
- 10 Academy Coins
- CPD/CME
- 0.25 hours
Share this page
Download the QR code with a link to this page and use it in your presentations or share it on social media.
Download QR code