Immediate Implant Placement and Restoration of a Maxillary Left Central Incisor with a Provisional Crown - Clinical Case Report - Home
Case
Clinical Case Report
Immediate Implant Placement and Restoration of a Maxillary Left Central Incisor with a Provisional Crown
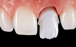
Leon Pariente and Karim Dada outline the Immediate Implant Placement and Restoration of a Maxillary Left Central Incisor with a Provisional Crown, demonstrating how the hard and soft tissue architecture can be maintained with a Type 1A treatment protocol and a fixed provisional, providing an esthetic and comfortable immediate solution.
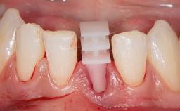
A 34-year-old female patient with high esthetic expectations, a non-smoker with no relevant medical history (ASA class 1), was referred to the practice for replacement of her failing maxillary left central incisor (tooth 21), which exhibited a vertical root fracture as diagnosed by the referring endodontist under the microscope. This case illustrates a type 1A treatment protocol (Gallucci and coworkers 2018) complete with diagnosis, treatment decisions, and clinical and laboratory steps.
- Surgical classification
- Complex
- Prosthodontic classification
- Advanced
- Source
- Treatment Guide 14
- Purchase price
- 10 Academy Coins
- CPD/CME
- 0.25 hours
Recommended content
General Risk Assessment
| Patient-related Factors | |
|---|---|
| Smoking Habit | None |
| Oral hygiene | Good |
| Compliance | Good |
| Patient's Expectations | High but achievable |
| Patient-medical Factors | |
| Medical Status | Healthy, uneventful healing |
| Medical Fitness | Healthy, able to undergo planned anesthesia and surgical procedure (ASA I) |
| Medications | No medications that would negatively affect the surgical procedure and outcomes. |
| Radiation Treatment | None |
| Growth Status | Complete |
| Site-related Factors | |
| Periodontal Status | No history of periodontal disease, or any active periodontal disease. |
| Access | Adequate |
| Pathology near the implant site | None |
| Previous surgeries in planned implant site | No previous procedures. |
Surgical Classification
| Surgical Complexity | |
|---|---|
| Timing of placement | Immediate Placement (extraction sockets) (Type I) |
| Simultaneous or Staged grafting procedures | Implant placement with simultaneous hard and soft tissue procedures |
| Anatomy | |
| Bone Volume - Horizontal | Adequate |
| Bone Volume - Vertical | Adequate |
| Keratinized Tissue | Sufficient (>4 mm) |
| Soft Tissue Quality | No scars or inflammation |
| Proximity to vital anatomic structures | Minimal risk of involvement |
| Adjacent Teeth | |
| Papilla | Complete |
| Recession | Absent |
| Interproximal attachment | At CEJ |
| Extractions | |
| Radicular morphology | Uniradicular |
| Available apical bone to achieve primary stability | Sufficient height ( ≥ 4 mm) and width (> 2 mm around apex of planned implant) |
| Socket walls | Intact |
| Thickness of buccal wall | 2mm or greater |
| Anticipated residual defect after implant placement | 2 mm or less |
Prosthodontic Classification
| Complicating Factors | |
|---|---|
| Biological | Screw-retained restorations with appropriate contours |
| Mechanical/Technical | Absence of contributing factors |
| Prosthesis Factors | |
| Prosthetic volume | Adequate. Space available for ideal anatomy of the restoration |
| Inter-occlusal space | Adequate. Capable to create an anatomically & functionally correct planned restoration |
| Volume and characteristics of the edentulous ridge (fixed) | Adequate. No adjunctive therapy or prosthetic soft tissue replacement will be necessary |
| Esthetic Factors | |
| Gingival display at full smile | Medium |
| Shape of tooth crowns | Rectangular |
| Restorative status of neighboring teeth | Virgin |
| Gingival Phenotype | Low-scalloped, thick |
| Bone level on adjacent teeth | 5.5 to 6.5 mm to contact point |
| Occlusal Factors | |
| Occlusal scheme | User-defined occlusal scheme achievable |
| Involvement in occlusion | Minimal or no involvement |
| Occlusal parafunction | Absent |
| Complexity | |
| Loading Protocol | Immediate |
| Implant-supported provisional restoration | Required, elevated esthetic and/or functional demands |
| Timing of placement | Immediate Placement (extraction sockets) (Type I) |
Esthetic Risk Assessment
| Esthetic Risk Assessment | |
|---|---|
| Medical Status | Healthy, uneventful healing |
| Smoking Habit | None |
| Gingival display at full smile | Medium |
| Width of edentulous span | 1 tooth (≥ 7mm, standard diameter implant) 1 Tooth (≥ 6mm, narrow diameter implant) |
| Shape of tooth crowns | Rectangular |
| Restorative status of neighboring teeth | Virgin |
| Gingival Phenotype | Low-scalloped, thick |
| Infection at implant site | None |
| Bone level on adjacent teeth | 5.5 to 6.5 mm to contact point |
| Thickness of buccal wall | 2mm or greater |
| Patient's Expectations | High but achievable |
- 3 - Proficient to Expert
- Clinical Case
- Treatment Guide 14
ITI QR code Mvc
Share this page
Download the QR code with a link to this page and use it in your presentations or share it on social media.
Download QR code