Early Placement of an Implant in a Maxillary Left First Premolar Site - Clinical Case Report - Home
Clinical Case Report
Early Placement of an Implant in a Maxillary Left First Premolar Site
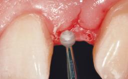
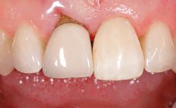
A 51-year-old female patient presented with a chief complaint of occlusal pain at tooth 24 and had been referred to our clinic for consultation and treatment. The patient had no history of any systemic disorder that may have affected the treatment outcome, and she was a non-smoker. Tooth 24 had been endodontically treated and restored with a crown at another clinic due to caries ten years before. The pre-treatment radiograph revealed a root fracture of tooth 24 with significant bone resorption. The pocket probing depth was 8 mm. The tooth had to be extracted. During the minimally traumatic extraction of tooth 24, a dehiscence was found on the buccal wall of the extraction socket. In response to the patient’s wish for a comprehensive treatment of the entire jaw,a suitable treatment plan was developed.
- Surgical SAC classification
- Advanced
- Prosthodontic SAC classification
- Advanced
- Source
- Treatment Guide 3
- Purchase price
- 10 Academy Coins
- CPD/CME
- 0.25 hours
Share this page
Download the QR code with a link to this page and use it in your presentations or share it on social media.
Download QR code