Connective-Tissue Graft to Increase the Width of the Keratinized Mucosa Around an Osseointegrated Implant - Clinical Case Report - Home
Clinical Case Report
Connective-Tissue Graft to Increase the Width of the Keratinized Mucosa Around an Osseointegrated Implant
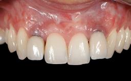
Adequate peri-implant soft-tissue thickness is essential not only for esthetic but also for functional reasons. In this case, Vincenzo Iorio Siciliano demonstrates how he achieved increased height and thickness of posterior peri-implant soft tissues to obtain a stable mucosal seal and a width of keratinized tissue favorable to toothbrushing.
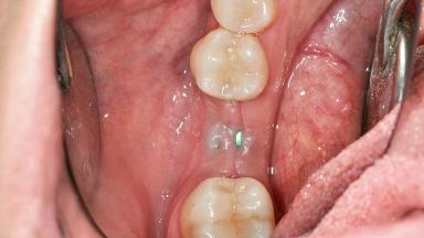
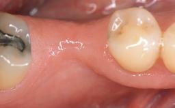
The patient, a healthy 38-year-old woman, was referred for increasing the width of the keratinized tissues at the buccal aspect of dental implant 46. The site exhibited a premature-closure screw exposure caused by trauma during chewing, with inadequate keratinized tissue.
- Surgical SAC classification
- Straightforward
- Prosthodontic SAC classification
- Straightforward
- Source
- Treatment Guide 12
- Purchase price
- 10 Academy Coins
- CPD/CME
- 0.25 hours
Share this page
Download the QR code with a link to this page and use it in your presentations or share it on social media.
Download QR code