My ITI - Eduardo R Lorenzana
Eduardo Lorenzana
San Antonio, United States
- ITI Fellow
- registered since 2005
Curriculum Vitae
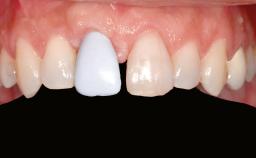
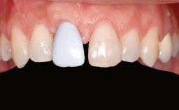
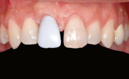
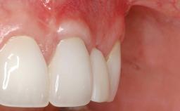
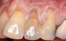
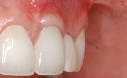
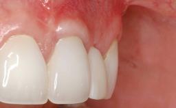
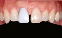
Eduardo R. Lorenzana, DDS, MS, established his private practice in San Antonio, Texas, focusing on Periodontics, Oral Plastic Surgery, and Dental Implant Aesthetics. He earned his certificate in Periodontics and Masters in Oral Biology from Texas A&M - Baylor College of Dentistry in Dallas, Texas, and is a Diplomate of the American Board of Periodontology. He is an Adjunct Assistant Professor in the Graduate Periodontics Department at Texas A&M - Baylor College of Dentistry and Past-President of both the Southwest Society of Periodontists and the Texas Society of Periodontists. He is a Fellow and member of the Board of Directors of the International Society of Periodontal Plastic Surgeons (ISPPS) as well as a Fellow and Past-Chair of the United States Section of the International Team for Implantology (ITI).