Implant Placement with Simultaneous Sinus Floor Elevation (Lateral Window Technique) - Clinical Case Video - Home
Clinical Case Video
Implant Placement with Simultaneous Sinus Floor Elevation (Lateral Window Technique)
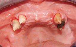
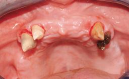
Surgical treatment of a 68-year-old female patient who experienced failure of her conventional bridge in the right maxilla. After removal of the compromised abutment teeth and a healing period of 6 weeks, a sinus floor elevation procedure using the lateral window technique and a composite graft to correct the insufficient bone height is carried out.
Two dental implants are placed in the same surgical session. The case concludes with the presentation of the final fixed dental prosthesis with a distal cantilever unit.
The 1-year follow-up radiographs demonstrate successful sinus floor elevation and stable bone crest levels around both implants, leading to a favorable long-term prognosis of the implant-supported prosthesis.
Produced in cooperation with CCDE and Video-Atelier Keel.
- Surgical SAC classification
- Complex
- Prosthodontic SAC classification
- Advanced
- Duration
- 17 minutes
- Purchase price
- 17 Academy Coins
- CPD/CME
- 0.3 hours
Share this page
Download the QR code with a link to this page and use it in your presentations or share it on social media.
Download QR code