Case

5.0The average rating is 5 stars out of 5.

Immediate Loading of Six Implants in the Maxilla and Final Restoration with a Full-Arch Gold/Ceramic FDP Involving the Concept of Tilted Implants

Paolo Casentini

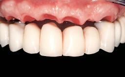
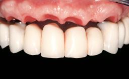
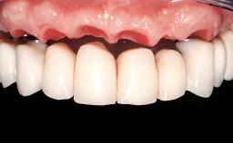
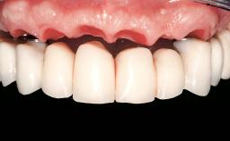
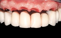
A 61-year-old male patient with a failing fixed maxillary rehabilitation and a fixed mandibular rehabilitation requested a new fixed maxillary rehabilitation. The patient was wearing a temporary metal-reinforced maxillary bridge inserted two years before the consultation. He reported that his previous dentist did not want to insert a definitive framework because he considered the residual teeth to have a negative prognosis. The patient reported a history of recurrent caries and endodontic complications as the main reason for the previous extractions. The anamnesis was negative for periodontal disease and bruxism. The patient’s chief compliant was the mobility of his maxillary prosthesis, which needed to be re-cemented frequently, and discomfort during chewing.Moreover, the patient was not satisfied with the esthetic appearance of his maxillary teeth, which he found too long. The patient asked for a stable and comfortable fixed maxillary rehabilitation and firmly rejected any removable solution.

Surgical SAC classification
Complex
Prosthodontic SAC classification
Complex
Source
Treatment Guide 4
Purchase price
10 Academy Coins
CPD/CME
0.25 hours

General information

Case Type Edentulous Maxilla
Jaw Maxilla
Area Full-Arch
# of Teeth All
# of Implants 6
Type of Implants One-Piece|Reduced-Diameter
Attachment One-Piece|Reduced-Diameter
Bone Augmentation Horizontal|Simultaneous
Augmentation Materials Xenogenous|Membrane
Guided Surgery No
Soft Tissue Grafting None
Abutment Type Customized
Prosthesis Type FDP

Esthetic Risk Assessment

Esthetic Risk Factors Low Medium High
Medical Status Healthy Compromised
Smoking Habit Non-smoker Light smoker (< 10 cigarettes per day) Heavy smoker (>= 10 cigarettes per day)
Patient's Esthetic Expectations Low Medium High
Lip Line No exposure of papillae Exposure of papillae Full exposure of mucosa margin
Periodontal Phenotype Low-scalloped, thick Medium-scalloped, medium-thick High-scalloped, thin
Shape of Tooth Crowns Rectangular Triangular
Infection at Implant Site None Chronic Acute
Bone Level at Adjacent Teeth <= 5 mm to contact point 5.5 to 6.5 mm to contact point > 7 mm to contact point
Prosthodontic Status of Neighboring Teeth Virgin Restored
Width of Edentulous Span 1 tooth (>= 7 mm) 1 tooth (< 7 mm) 2 teeth or more
Soft Tissue Anatomy Intact Defective
Bone Volume Horizontally and vertically sufficient Horizontally deficient Deficient vertically or deficient vertically AND horizontally
  • * General SAC assessment modifiers that are also part of the ERA. To avoid redundancy they are listed in this section even if no complete ERA has been made.

  • ** Not applicable to the ERA of immediate placement cases and replaced by "Socket Integrity" listed below under "Surgical SAC Classification". For all other placement types this value is a classification determinant and listed here even if no complete ERA has been made.

Surgical SAC classification

SAC Level Complex
Defining Characteristics Fully edentulous upper jaw to be rehabilitated with four or more implants
Modality Fixed hybrid bridge on 5+ implants
Placement Protocol -
Tooth Site -
Socket Morphology -
Socket Integrity -
Bone Volume Deficient horizontally, allowing simultaneous augumentation
Anatomic Risk Moderate
Esthetic Risk Medium
Complexity High
Risk of Complications High

Prosthodontic SAC classification

SAC Level Complex
Defining Characteristics Fully edentulous upper jaw to be rehabilitated with an implant-borne fixed dental prosthesis
Loading Protocol Immediate
Retention Cemented, with prosthesis margin < 3mm submucosal Cemented, with prosthesis margin < 3mm submucosal
Maxillomandibular Relationship -
Mesio-Distal Space -
Inter-Arch Distance Average
Bruxism Absent
Esthetic Risk Medium
Provisional Implant-Supported Prosthesis Prosthodontic margin < 3 mm apical to mucosal crest Prosthodontic margin < 3 mm apical to mucosal crest
Interim Prosthesis during Healing - -
Occlusion/Articulation -
Occlusal Scheme/Issues Anterior guidance

Surgical SAC Modifiers

Periodontal Status Healthy

Prosthodontic SAC Modifiers

Soft Tissue Contour and Volume Slightly compromised

General SAC Modifiers

Oral Hygiene and Compliance Good
Access Adequate
Craniofacial/Skeletal Growth Completed
Publication date: Jan 11, 2015 Last review date: Apr 10, 2023 Next review date: Apr 10, 2026

ITI QR code Mvc

Share this page

Download the QR code with a link to this page and use it in your presentations or share it on social media.

Download QR code
QR code