Digital Photography: An Instrument to Avoid Complications? - Congress Lectures - Home
Practising Implant Dentistry and Self Directed Learning
Digital Photography: An Instrument to Avoid Complications?
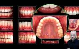
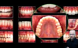
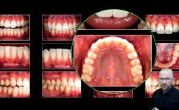
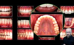
This lecture clearly demonstrates the indications and usefulness of digital photography in everyday practice. Macro photography, the most important aspect in dental digital photography, is defined in addition to other features such as exposure, depth of field, and sharpness. At the end of the lecture, you will have an overview of the relevant settings for intraoral photography with a digital camera, and you will be able to monitor the image quality. You will know the steps for a successful shade selection, and define your own dental image portfolio.
At the end of this Congress Lecture you should be able to…
- describe the indications of digital photography
- define macro photography
- recognize the elements of a digital camera
- discuss the settings for intraoral photography
- Duration
- 32 minutes
- Source
- ITI Congress Benelux 2016
- CPD/CME
- 0.53 hours
- Purchase price
- 16 Academy Coins
Share this page
Download the QR code with a link to this page and use it in your presentations or share it on social media.
Download QR code