Case

5.0The average rating is 5 stars out of 5.

Implant Placement with Simultaneous Sinus Floor Elevation (Lateral Window Technique)

Daniel Buser

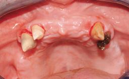
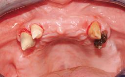
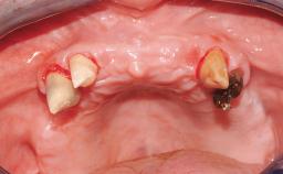
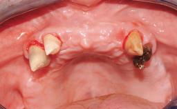
Surgical treatment of a 68-year-old female patient who experienced failure of her conventional bridge in the right maxilla. After removal of the compromised abutment teeth and a healing period of 6 weeks, a sinus floor elevation procedure using the lateral window technique and a composite graft to correct the insufficient bone height is carried out.

Two dental implants are placed in the same surgical session. The case concludes with the presentation of the final fixed dental prosthesis with a distal cantilever unit.

The 1-year follow-up radiographs demonstrate successful sinus floor elevation and stable bone crest levels around both implants, leading to a favorable long-term prognosis of the implant-supported prosthesis. 

Produced in cooperation with CCDE and Video-Atelier Keel.

Surgical SAC classification
Complex
Prosthodontic SAC classification
Advanced
Duration
17 minutes
Purchase price
17 Academy Coins
CPD/CME
0.3 hours

General information

Case Type Extended Space
Jaw Maxilla
Area Posterior
# of Teeth 4
# of Implants 2
Type of Implants One-Piece
Attachment One-Piece
Bone Augmentation Simultaneous|Sinus Floor Elevation
Augmentation Materials Autogenous chips|Xenogenous
Guided Surgery No
Soft Tissue Grafting None
Abutment Type Standard
Prosthesis Type FDP

Esthetic Risk Assessment

Esthetic Risk Factors Low Medium High
Medical Status Healthy Compromised
Smoking Habit Non-smoker Light smoker (< 10 cigarettes per day) Heavy smoker (>= 10 cigarettes per day)
Patient's Esthetic Expectations Low Medium High
Lip Line No exposure of papillae Exposure of papillae Full exposure of mucosa margin
Periodontal Phenotype Low-scalloped, thick Medium-scalloped, medium-thick High-scalloped, thin
Shape of Tooth Crowns Rectangular Triangular
Infection at Implant Site None Chronic Acute
Bone Level at Adjacent Teeth <= 5 mm to contact point 5.5 to 6.5 mm to contact point > 7 mm to contact point
Prosthodontic Status of Neighboring Teeth Virgin Restored
Width of Edentulous Span 1 tooth (>= 7 mm) 1 tooth (< 7 mm) 2 teeth or more
Soft Tissue Anatomy Intact Defective
Bone Volume Horizontally and vertically sufficient Horizontally deficient Deficient vertically or deficient vertically AND horizontally
  • * General SAC assessment modifiers that are also part of the ERA. To avoid redundancy they are listed in this section even if no complete ERA has been made.

  • ** Not applicable to the ERA of immediate placement cases and replaced by "Socket Integrity" listed below under "Surgical SAC Classification". For all other placement types this value is a classification determinant and listed here even if no complete ERA has been made.

Surgical SAC classification

SAC Level Complex
Defining Characteristics More than three missing teeth to be replaced with an implant-borne prosthesis or prostheses
Modality -
Placement Protocol Early or late implant placement
Tooth Site -
Socket Morphology -
Socket Integrity -
Bone Volume Deficient vertically or deficient vertically AND horizontally
Anatomic Risk High
Esthetic Risk Low
Complexity High
Risk of Complications High

Prosthodontic SAC classification

SAC Level Advanced
Defining Characteristics Up to three missing teeth to be replaced with an implant-borne restoration or restorations
Loading Protocol Conventional or early
Retention Screw-retained, with splinted implants Screw-retained, with splinted implants
Maxillomandibular Relationship -
Mesio-Distal Space Anatomic space corresponding to the missing teeth +/- 1 mm
Inter-Arch Distance > 8 mm
Bruxism Absent
Esthetic Risk Low
Provisional Implant-Supported Prosthesis - -
Interim Prosthesis during Healing - -
Occlusion/Articulation Harmonious
Occlusal Scheme/Issues -

Surgical SAC Modifiers

Periodontal Status Healthy

Prosthodontic SAC Modifiers

Soft Tissue Contour and Volume -

General SAC Modifiers

Oral Hygiene and Compliance Good
Access Adequate
Craniofacial/Skeletal Growth Completed
Publication date: Jan 11, 2015 Last review date: Apr 10, 2024 Next review date: Apr 10, 2027

ITI QR code Mvc

Share this page

Download the QR code with a link to this page and use it in your presentations or share it on social media.

Download QR code
QR code