Management of Postoperative Infection Following Implant Placement - Clinical Case Report - Home
Clinical Case Report
Management of Postoperative Infection Following Implant Placement
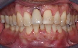
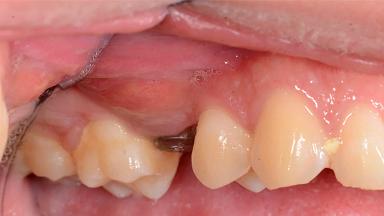
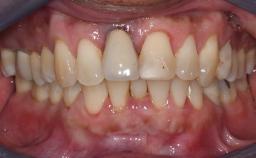
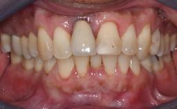
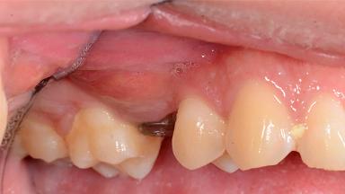
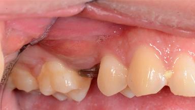
A healthy 20-year-old patient presented with missing upper right second premolar, and implant placement was performed uneventfully. Unfortunately, he returned with a postoperative infection 3 weeks later. This was successfully managed with systemic antibiotics, and the treatment approach was changed to a 2-stage protocol. Contour augmentation was performed during Stage 2 implant surgery to restore buccal bone contour, and the implant-supported single crown was delivered without compromising the end result.
- Surgical SAC classification
- Advanced
- Prosthodontic SAC classification
- Complex
- Source
- User Case
- Purchase price
- 10 Academy Coins
- CPD/CME
- 0.25 hours
Share this page
Download the QR code with a link to this page and use it in your presentations or share it on social media.
Download QR code