Case

0.0The average rating is 0 stars out of 5.

Management of Peri-implantitis on a Smooth-surfaced Implant

Xian Jun Edwin Goh

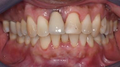
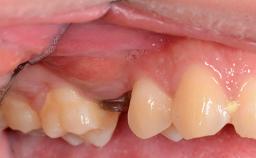
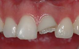
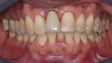
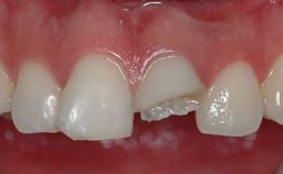
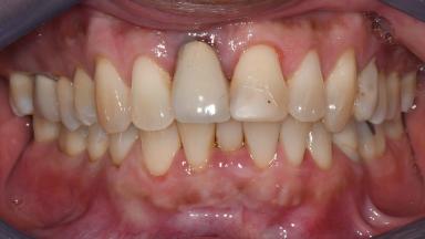
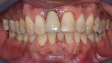
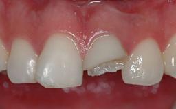
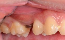
With this case, Xian Jun Edwin Goh demonstrates how proper diagnosis of an implant related complication is critical in successful management of peri-implantitis. A 56 years old male patient presented with peri-implantitis related to the dental implant replacing his upper right central incisor (11 site). Following proper diagnosis and non-surgical periodontal treatment, surgical intervention consisting of open flap debridement and connective tissue graft was performed. The patient was then enrolled in an individualised maintenance regime and continued to demonstrate stable periodontal and peri-implant parameters.

Surgical classification
Advanced
Prosthodontic classification
Complex
Source
User Case
Purchase price
10 Academy Coins
CPD/CME
0.25 hours

General Risk Assessment

Patient-related Factors
Smoking Habit None
Oral hygiene Poor
Compliance Adequate
Patient's Expectations Realistic
Patient-medical Factors
Medical Status Healthy, uneventful healing
Medical Fitness Moderately compromised health, but can undergo planned anesthesia and surgical procedure (ASA II to ASA III)
Medications No medications that would negatively affect the surgical procedure and outcomes.
Radiation Treatment None
Growth Status Complete
Site-related Factors
Periodontal Status Active periodontal disease.
Access Adequate
Pathology near the implant site None
Previous surgeries in planned implant site Previous procedures resulting in none or minimal bone and soft tissue changes.

Surgical Classification

Surgical Complexity
Timing of placement Healed (Type IV)
Simultaneous or Staged grafting procedures Implant placement with simultaneous hard and soft tissue procedures
Anatomy
Bone Volume - Horizontal Deficient but allowing simultaneous augmentation
Bone Volume - Vertical Small deficiency allowing implant placement and no augmentation. Small deficiency requiring simultaneous horizontal augmentation. Adequate for implant placement but requiring bone reduction.
Keratinized Tissue Sufficient (>4 mm)
Soft Tissue Quality Presence of scars and inflammation
Proximity to vital anatomic structures Minimal risk of involvement
Adjacent Teeth
Papilla Complete
Recession Absent
Interproximal attachment At CEJ

Prosthodontic Classification

Complicating Factors
Biological Cement-retained restorations with appropriate contours
Mechanical/Technical Presence of non-critical contributing factors
Prosthesis Factors
Prosthetic volume Adequate. Space available for ideal anatomy of the restoration
Inter-occlusal space Adequate. Capable to create an anatomically & functionally correct planned restoration
Volume and characteristics of the edentulous ridge (fixed) Inadequate. Adjunctive therapy or prosthetic materials may be necessary to achieve optimal result
Esthetic Factors
Gingival display at full smile High
Shape of tooth crowns Triangular
Restorative status of neighboring teeth Restored
Gingival Phenotype Medium-scalloped, medium-thick
Bone level on adjacent teeth 5.5 to 6.5 mm to contact point
Occlusal Factors
Occlusal scheme User-defined occlusal scheme achievable
Involvement in occlusion Minimal or no involvement
Occlusal parafunction Absent
Complexity
Loading Protocol Early/Conventional
Interim prosthesis None required
Implant-supported provisional restoration None required
Timing of placement Healed (Type IV)

Esthetic Risk Assessment

Esthetic Risk Assessment
Medical Status Healthy, uneventful healing
Smoking Habit None
Gingival display at full smile High
Width of edentulous span 1 tooth (≥ 7mm, standard diameter implant) 1 Tooth (≥ 6mm, narrow diameter implant)
Shape of tooth crowns Triangular
Restorative status of neighboring teeth Restored
Gingival Phenotype Medium-scalloped, medium-thick
Infection at implant site Acute
Bone level on adjacent teeth 5.5 to 6.5 mm to contact point
Bone anatomy at alveolar crest (n.a.) Horizontal bone deficiency
Patient's Expectations Realistic
Publication date: May 20, 2024 Last review date: May 13, 2024 Next review date: May 13, 2027

ITI QR code Mvc

Share this page

Download the QR code with a link to this page and use it in your presentations or share it on social media.

Download QR code
QR code