Immediate Loading of Eight Implants in the Maxilla and Six Implants in the Mandible and Final Restoration with Three-Unit and Four-Unit FDPs - Clinical Case Report - Home
Clinical Case Report
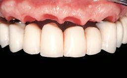
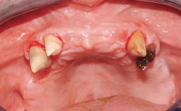
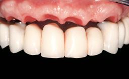
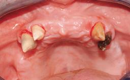
Immediate Loading of Eight Implants in the Maxilla and Six Implants in the Mandible and Final Restoration with Three-Unit and Four-Unit FDPs
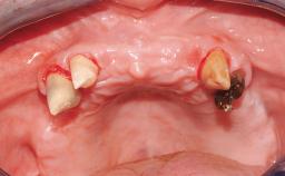
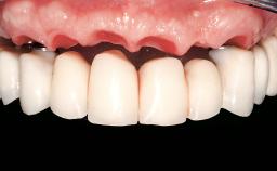
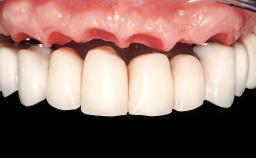
Extensive scientific evidence has confirmed that immediately loaded implants with fixed full-arch provisional restorations can osseointegrate with success rates similar to conventionally or delayed loaded implants. A number of immediate-provisionalization techniques for edentulous jaws have been described. Some protocols differ when it comes to prefabricated provisional templates versus complete denture conversion; intrasurgical impressions versus direct relining; and cemented versus screw-retained provisional restorations. In this context, complete-denture conversion has been proposed for either intrasurgical impressions or direct relining. Another possibility is the utilization of a prefabricated provisional to be adapted either in the mouth (by direct relining) or in the laboratory (on a working model obtained from an intrasurgical impression).
- Surgical SAC classification
- Complex
- Prosthodontic SAC classification
- Complex
- Source
- Treatment Guide 4
- Purchase price
- 10 Academy Coins
- CPD/CME
- 0.25 hours
Share this page
Download the QR code with a link to this page and use it in your presentations or share it on social media.
Download QR code