Immediate Loading of Six Implants in the Maxilla and Final Restoration with a Full-Arch CAD/CAM Zirconia FDP - Clinical Case Report - Home
Clinical Case Report
Immediate Loading of Six Implants in the Maxilla and Final Restoration with a Full-Arch CAD/CAM Zirconia FDP
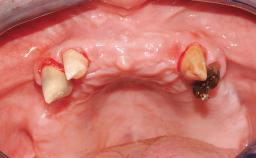
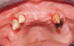
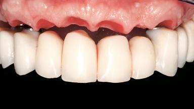
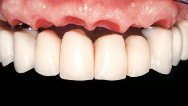
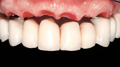
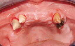
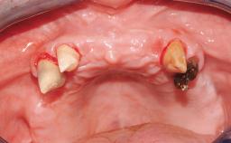
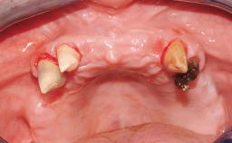
A 63-year-old male patient was referred for a consultation and treatment of partial edentulism in the maxilla. The patient presented with residual anterior teeth and declined a partial removable prosthesis. He reported that the maxillary posterior teeth had been extracted due to mobility and periodontal disease two months before the consultation. The patient’s chief complaint was that his residual maxillary teeth were mobile and that he was unable to chew. The patient’s desire was a stable and comfortable fixed maxillary rehabilitation. The patient was a light smoker (fewer than 10 cigarettes/ day), and his medical history was without significant findings. He was not on any regular medication at the time of consultation. The extraoral examination revealed a normal physiognomy with a correct distribution of the facial thirds. The patient presented a low lip line, and the transition line between teeth and soft tissues was not exposed during a forced smile.
- Surgical SAC classification
- Complex
- Prosthodontic SAC classification
- Complex
- Source
- Treatment Guide 4
- Purchase price
- 10 Academy Coins
- CPD/CME
- 0.25 hours
Share this page
Download the QR code with a link to this page and use it in your presentations or share it on social media.
Download QR code