Congress Lecture

0.0The average rating is 0 stars out of 5.
Prosthodontic Planning and Procedures

WS2024 - Prosthetic Considerations for Immediate Implant Placement and Loading

Irena Sailer

ITI World Symposium 2024 lecture by Irena Sailer - part of the "Immediacy" session.

At the end of this lecture you should be able to...

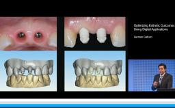
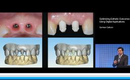
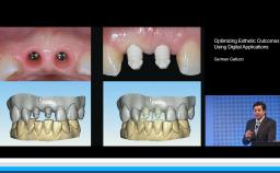
  • describe the most appropriate prosthetic design for immediate loading in single unit implants
  • explain materials and abutments properties and the rationale behind their selection for the described clinical scenario
  • identify the influence of occlusion in the treatment outcome of an immediate loaded implant
Duration
17 minutes
Source
ITI World Symposium 2024
CPD/CME
0.28 hours
Purchase price
9 Academy Coins
Publication date: Aug 29, 2024 Last review date: Aug 29, 2024 Next review date: Aug 29, 2027
  • Congress Lecture
  • English
  • Languages
  • Prosthodontic Planning & Procedures

ITI QR code Mvc

Share this page

Download the QR code with a link to this page and use it in your presentations or share it on social media.

Download QR code
QR code