Congress Lecture

0.0The average rating is 0 stars out of 5.
Structured Assessment and Treatment Planning

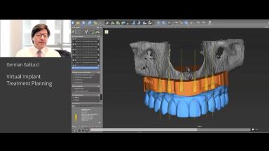
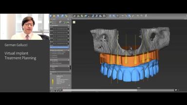
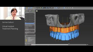
Virtual Implant Treatment Planning

German Gallucci

This is a recording of German Gallucci´s webinar on Academy live. Clinical considerations and indications for dental implants are analyzed in the context of their direct application to implant-prosthetic rehabilitations using digital technology. Risk assessment, treatment planning, placement and loading protocols and esthetic/prosthodontic rehabilitations are discussed in detail according to different clinical situations. Recommended planning steps and treatment procedures will be presented through scientific evidence. Modern Implant-prosthetic restorations using different implant designs and digital technology call for a harmonious integration with the pre-existing environment. In this context, biologic considerations affecting normal peri-implant soft tissue integration will be discussed as a major esthetic parameter.

This is the first webinar of the series “Digital Workflow 101 with Harvard professor German Gallucci”. The second one can be found here: Digitally Assisted Implant Prosthodontics

At the end of this Congress Lecture you should be able to…

  • discuss current trends in virtual implant planning
  • assess digital tools for suitable treatment planning
  • widen treatment planning options using a selective approach
Duration
50 minutes
Source
ITI Academy live webinar
CPD/CME
0.83 hours
Purchase price
25 Academy Coins
Publication date: Jan 30, 2023 Last review date: Jan 23, 2024 Next review date: Jan 23, 2027
  • Congress Lecture
  • English
  • Languages
  • Structured Assessment & Treatment Planning

ITI QR code Mvc

Share this page

Download the QR code with a link to this page and use it in your presentations or share it on social media.

Download QR code
QR code