Congress Lecture

0.0The average rating is 0 stars out of 5.
Prosthodontic Planning and Procedures

Prosthetic Management of Posterior Regions

Dean Morton

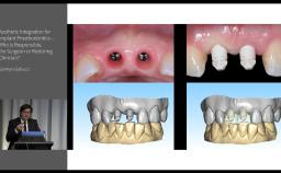
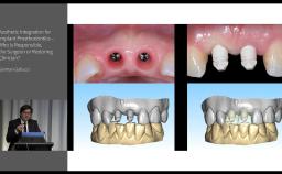
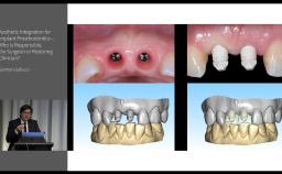
This presentation highlights the critical considerations to treat posterior edentulous spaces with implant restorations from one of the most experienced clinicians in the field, Dr. Morton. With a series of clinical cases, he explains various factors influencing the treatment planning with posterior implant prostheses including implant and prosthetic designs, abutment and prosthetic materials, abutment connections, inter-arch space considerations, and nature of opposing dentition. The presentation highlights the management of clinical situations with adequate, inadequate, and excessive interocclusal spaces as well as available bone volume with careful selection of implant and prosthetic designs. The importance of digital implant planning and digital prosthetic designs for posterior restorations is emphasized.

At the end of this Congress Lecture you should be able to…

  • explain different implant treatment strategies in managing posterior edentulous spaces
  • discuss prosthetic designs and material considerations for posterior implant restorations
  • recognize clinical situations regarding available vertical restorative space to select appropriate implant and abutment design for long term success
Duration
46 minutes
Source
ITI Congress Southern Africa 2019
CPD/CME
0.77 hours
Purchase price
23 Academy Coins
Publication date: Nov 17, 2025 Last review date: Nov 10, 2025 Next review date: Nov 10, 2028
  • 1 - Beginner
  • Congress Lecture
  • English
  • Languages
  • Prosthodontic Planning & Procedures

ITI QR code Mvc

Share this page

Download the QR code with a link to this page and use it in your presentations or share it on social media.

Download QR code
QR code