Dental Photography for Dental Technicians - Congress Lectures - Home
Practising Implant Dentistry and Self Directed Learning
Dental Photography for Dental Technicians
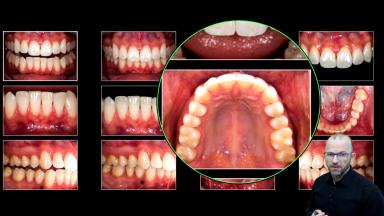
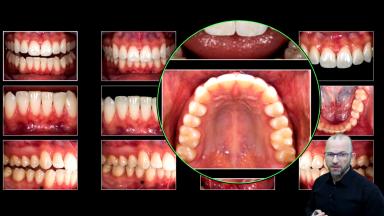
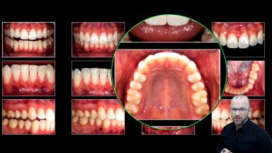
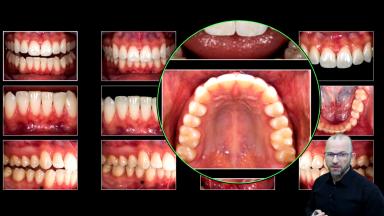
In this webinar, Krzysztof Chmielewski talks about his abundant experience with and knowledge of dental photography, highlighting the importance of photographic documentation for peer-to-peer and patient communication. He gives tips on many aspects of dental photography that you can take directly to daily pratice.
At the end of this webinar you should be able to…
- describe the different types of dental photography
- explain how to apply dental photography for documentation
- explain camera settings for intra-oral photography and portraits
- discuss the importance of color, shade, shape and texture
- explain how to photograph products and equipment
- specifically discuss dental lab photography
- discuss equipment recommendations and accessories
- Duration
- 60 minutes
- Source
- ITI Webinar
- CPD/CME
- 1 hours
- Purchase price
- 30 Academy Coins
Share this page
Download the QR code with a link to this page and use it in your presentations or share it on social media.
Download QR code