Metal Allergy - Clinical Case Report - Home
Clinical Case Report
Metal Allergy
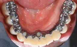
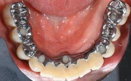
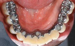
In 2004, the patient, a smoker, began dental treatment at the ACTA graduate clinic. She was a TV producer exposed to a lot of stress in her job and had a sick husband. Her maxillary teeth had been extracted, as had the mandibular canines, premolars, and molars, with the exception of tooth 34. She received a complete maxillary denture and a mandibular skeleton denture. In October 2007, her maxilla was augmented by an oral and maxillofacial surgeon; in March 2008, implants (Biomet 3i, Palm Beach, Florida, USA) were inserted at that same clinic. In 2008, the patient was presented at the Department of Oral Implantology and Prosthetic Dentistry to request restorations for her implants. An implant-supported overdenture was planned. She also asked if we could restore her occlusion with fixed prosthetics.
- Surgical SAC classification
- Complex
- Prosthodontic SAC classification
- Complex
- Source
- Treatment Guide 8
- Purchase price
- 10 Academy Coins
- CPD/CME
- 0.25 hours
Share this page
Download the QR code with a link to this page and use it in your presentations or share it on social media.
Download QR code