Maxillary Implant-supported Full-arch Removable Dental Prostheses for a Geriatric Patient: Sequencing the Treatment for an Optimal Outcome - Clinical Case Report - Home
Clinical Case Report
Maxillary Implant-supported Full-arch Removable Dental Prostheses for a Geriatric Patient: Sequencing the Treatment for an Optimal Outcome
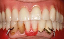
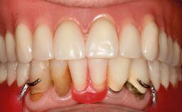
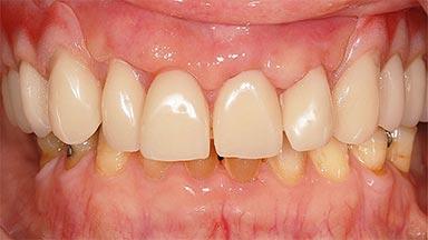
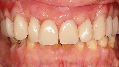
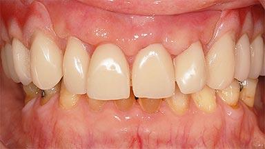
A 90-year-old, essentially healthy woman requested assistance following what she determined was the loss of a dental restoration from a maxillary anterior tooth. She also complained of pain associated with tooth 11. The patient was assessed as relatively fit and healthy. She took medications for mild hypertension and to prevent angina attacks (atenolol and diltiazem). She had a form of arthritic joint degeneration affecting several joints; especially in her hands and fingers. When required she used an NSAID (meloxicam) for pain management. She reported living alone in a care facility that allows for independent living, with domestic support when and if necessary and primary medical triage when required.
- Surgical SAC classification
- Straightforward
- Prosthodontic SAC classification
- Complex
- Source
- Treatment Guide 9
- Purchase price
- 10 Academy Coins
- CPD/CME
- 0.25 hours
Share this page
Download the QR code with a link to this page and use it in your presentations or share it on social media.
Download QR code