Improving a Centenarian’s Quality of Life - Clinical Case Report - Home
Clinical Case Report
Improving a Centenarian’s Quality of Life
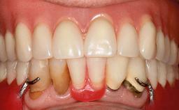
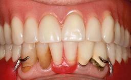
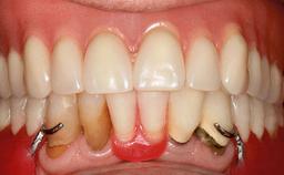
In 2007, a 97-year-old patient presented for treatment at the Geneva Dental School. His dentist had retired. Like many elderly patients, he was left without regular dental care. He lived on a geriatric ward, as he was partly dependent on help with most of the activities of daily living (ADL), such as getting dressed, washing, taking a shower, or climbing stairs. However, he was able to go to the bathroom and get up from bed on his own (ADL score 80, min. 18, max. 126; a low score signifies a high degree of dependency) (Lawton and Brody 1969). He was not bound to a wheelchair, but used a walker. Moreover, he was socially highly active—his family visited on a regular basis and he often went to the restaurant with his friend, who was some 20 years younger. His cognitive function did not seem to be impaired in a normal conversation, although his MMSE score was only 21/30 at that time (Folstein and coworkers 1975). The patient was a retired pharmacist, and his latest passion was astronomy.
- Surgical SAC classification
- Straightforward
- Prosthodontic SAC classification
- Advanced
- Source
- Treatment Guide 9
- Purchase price
- 10 Academy Coins
- CPD/CME
- 0.25 hours
Share this page
Download the QR code with a link to this page and use it in your presentations or share it on social media.
Download QR code