Case

4.0The average rating is 4 stars out of 5.

Early Implant Placement in a Maxillary Lateral Incisor Site

German Gallucci

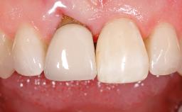
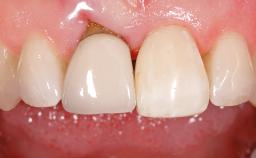
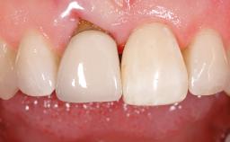
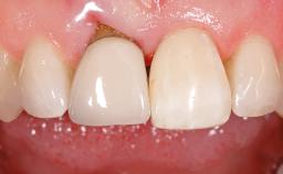
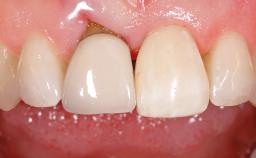
In the fall of 2003, a female patient was referred to the School of Dental Medicine, University of Geneva, for treatment of a traumatic fracture of a maxillary left lateral incisor. While at home, the patient fell down and hit a heating radiator with the anterior maxilla. During the initial examination, a week after the accident, the patient was in good general health condition and signs of pain/discomfort or clinical/radiographic infection were not observed. A moderate and localized hematoma with associated swelling persisted on the left side of the upper lip. Clinical assessment revealed a horizontal fracture at the cervical third of the anatomic crown of the maxillary left lateral incisor. In addition, a vertical crack line projecting into the cementoenamel junction (CEJ) called for a comprehensive assessment of the tooth restorability options.

Surgical SAC classification
Advanced
Prosthodontic SAC classification
Advanced
Source
Treatment Guide 3
Purchase price
10 Academy Coins
CPD/CME
0.25 hours

General information

Case Type Single-Tooth Space
Jaw Maxilla
Area Anterior
# of Teeth 1
# of Implants 1
Type of Implants One-Piece|Reduced-Diameter
Attachment One-Piece|Reduced-Diameter
Bone Augmentation No
Augmentation Materials -
Guided Surgery No
Soft Tissue Grafting Staged
Abutment Type Customized
Prosthesis Type FDP

Esthetic Risk Assessment

Esthetic Risk Factors Low Medium High
Medical Status Healthy Compromised
Smoking Habit Non-smoker Light smoker (< 10 cigarettes per day) Heavy smoker (>= 10 cigarettes per day)
Patient's Esthetic Expectations Low Medium High
Lip Line No exposure of papillae Exposure of papillae Full exposure of mucosa margin
Periodontal Phenotype Low-scalloped, thick Medium-scalloped, medium-thick High-scalloped, thin
Shape of Tooth Crowns Rectangular Triangular
Infection at Implant Site None Chronic Acute
Bone Level at Adjacent Teeth <= 5 mm to contact point 5.5 to 6.5 mm to contact point > 7 mm to contact point
Prosthodontic Status of Neighboring Teeth Virgin Restored
Width of Edentulous Span 1 tooth (>= 7 mm) 1 tooth (< 7 mm) 2 teeth or more
Soft Tissue Anatomy Intact Defective
Bone Volume Horizontally and vertically sufficient Horizontally deficient Deficient vertically or deficient vertically AND horizontally
  • * General SAC assessment modifiers that are also part of the ERA. To avoid redundancy they are listed in this section even if no complete ERA has been made.

  • ** Not applicable to the ERA of immediate placement cases and replaced by "Socket Integrity" listed below under "Surgical SAC Classification". For all other placement types this value is a classification determinant and listed here even if no complete ERA has been made.

Surgical SAC classification

SAC Level Advanced
Defining Characteristics One missing tooth to be replaced by an implant-borne prosthesis
Modality -
Placement Protocol Early or late implant placement
Tooth Site -
Socket Morphology -
Socket Integrity -
Bone Volume Horizontally and vertically sufficient
Anatomic Risk Low
Esthetic Risk High
Complexity Moderate
Risk of Complications Moderate

Prosthodontic SAC classification

SAC Level Advanced
Defining Characteristics One missing tooth to be replaced by an implant-borne crown
Loading Protocol Conventional or early
Retention Screw-retained Screw-retained
Maxillomandibular Relationship Angle Class I and III
Mesio-Distal Space Symmetry +/- 1 mm of contra-lateral tooth
Inter-Arch Distance -
Bruxism -
Esthetic Risk High
Provisional Implant-Supported Prosthesis Prosthodontic margin < 3 mm apical to mucosal margin Prosthodontic margin < 3 mm apical to mucosal margin
Interim Prosthesis during Healing Removable Removable
Occlusion/Articulation -
Occlusal Scheme/Issues -

Surgical SAC Modifiers

Periodontal Status Healthy

Prosthodontic SAC Modifiers

Soft Tissue Contour and Volume Slightly compromised

General SAC Modifiers

Oral Hygiene and Compliance Good
Access Adequate
Craniofacial/Skeletal Growth Completed
Publication date: Jan 11, 2015 Last review date: Apr 10, 2024 Next review date: Apr 10, 2027

ITI QR code Mvc

Share this page

Download the QR code with a link to this page and use it in your presentations or share it on social media.

Download QR code
QR code