Covering a Soft-Tissue Dehiscence at a Mandibular Incisor - Clinical Case Report - Home
Clinical Case Report
Covering a Soft-Tissue Dehiscence at a Mandibular Incisor
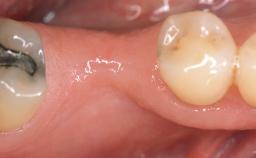
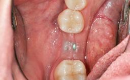
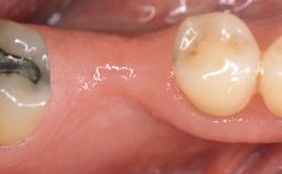
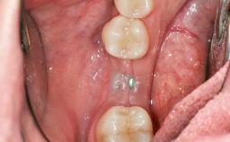
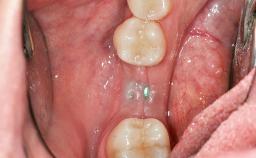
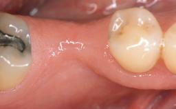
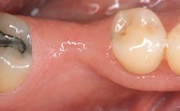
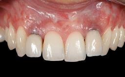
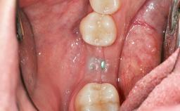
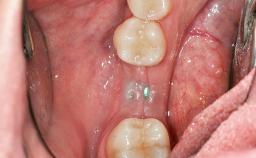
The early establishment of an effective soft-tissue barrier, capable of biologically protecting the peri-implant structures, is mandatory. If this soft-tissue seal were to be broken or damaged, it could be restored in the manner presented by Mario Roccuzzo in this case which is about a 70-year-old woman who was referred for implant placement to replace the four lower incisors. He was able to achieve long-term stable results using a thick connective-tissue graft from the tuberosity area.
- Surgical SAC classification
- Straightforward
- Prosthodontic SAC classification
- Straightforward
- Source
- Treatment Guide 12
- Purchase price
- 10 Academy Coins
- CPD/CME
- 0.25 hours
Share this page
Download the QR code with a link to this page and use it in your presentations or share it on social media.
Download QR code