Virtual Implant Treatment Planning - Congress Lectures - Home
Virtual Implant Treatment Planning
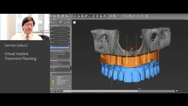
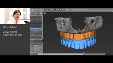
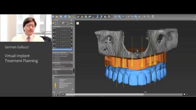
This is a recording of German Gallucci´s webinar on Academy live. Clinical considerations and indications for dental implants are analyzed in the context of their direct application to implant-prosthetic rehabilitations using digital technology. Risk assessment, treatment planning, placement and loading protocols and esthetic/prosthodontic rehabilitations are discussed in detail according to different clinical situations. Recommended planning steps and treatment procedures will be presented through scientific evidence. Modern Implant-prosthetic restorations using different implant designs and digital technology call for a harmonious integration with the pre-existing environment. In this context, biologic considerations affecting normal peri-implant soft tissue integration will be discussed as a major esthetic parameter.
This is the first webinar of the series “Digital Workflow 101 with Harvard professor German Gallucci”. The second one can be found here: Digitally Assisted Implant Prosthodontics
                            
                    At the end of this Congress Lecture you should be able to…
- discuss current trends in virtual implant planning
 - assess digital tools for suitable treatment planning
 - widen treatment planning options using a selective approach
 
- Duration
 - 50 minutes
 - Source
 - ITI Academy live webinar
 - CPD/CME
 - 0.83 hours
 - Purchase price
 - 25 Academy Coins
 
Share this page
Download the QR code with a link to this page and use it in your presentations or share it on social media.
Download QR code