Demystifying the Implant Abutment for Successful Clinical Outcomes: A Clinicians Viewpoint - Congress Lectures - Home
Demystifying the Implant Abutment for Successful Clinical Outcomes: A Clinicians Viewpoint
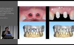
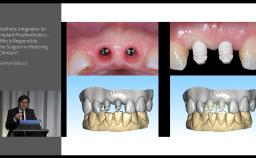
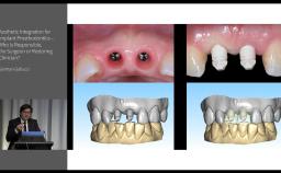
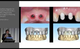
This lecture describes a well documented case series on the effect of different abutment designs for single tooth implant restorations. The long term crestal bone level changes were analyzed retrospectively to understand the good or bad effects of abutment designs and materials. R. Oretti, with his clinical experience, provides clinical recommendations regarding the abutment designs while treating single missing teeth either with a tissue level or a bone level implant. Insights on the abutment material selection, implant-abutment junctional wear, and the ideal abutment contours are explained to achieve the long-term success of the implant restorations.
At the end of this Congress Lecture you should be able to…
- explain abutment design and material considerations for long-term clinical success
- recognize the implant-abutment junctional architecture and emergence profile for clinically favorable soft tissue contours
- recognize the selection criteria and the influence of the tissue level versus bone level implants to achieve long term success
- discuss the types of superstructures in restoring edentulous short spans either by joining adjacent single implant crowns, splinting them together or providing an implant supported bridge
- Duration
- 40 minutes
- Source
- ITI Congress UK & Ireland 2021
- CPD/CME
- 0.67 hours
- Purchase price
- 20 Academy Coins
Share this page
Download the QR code with a link to this page and use it in your presentations or share it on social media.
Download QR code