Ridge Preservation and Implant Placement for a Fixed Dental Prosthesis After a Car Accident - Clinical Case Report - Home
Clinical Case Report
Ridge Preservation and Implant Placement for a Fixed Dental Prosthesis After a Car Accident
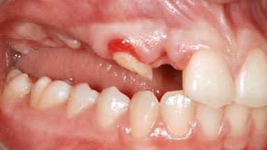
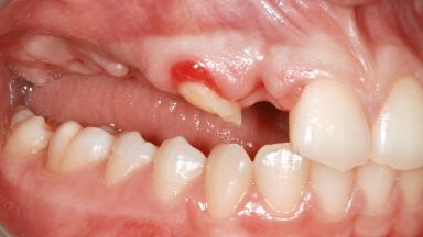
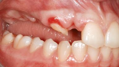
It is well known to clinicians that any removal of teeth will, over time, cause the dimensions of the alveolar ridge to be reduced by resorption of the bundle bone and by changes related to external modeling. This development is particularly evident in the crestal region with its thin buccal bone that consists of bundle bone almost entirely. The facial bone will rapidly resorb as blood supply from the periodontal ligament gets disrupted (Araújo and Lindhe 2005). There is no reason why traumatic tooth loss should not have the same consequences. It takes more than achieving implant osseointegration for a treatment outcome to be considered successful. No deficiency of bone or soft tissue is acceptable when an ideal esthetic outcome is the goal. Several articles (Sanz and coworkers 2011; Vignoletti and coworkers 2011) have reported on techniques of improving the alveolar ridge for implant treatment, notably focusing on protecting tissues from resorption.
- Surgical SAC classification
- Complex
- Prosthodontic SAC classification
- Advanced
- Source
- Treatment Guide 7
- Purchase price
- 10 Academy Coins
- CPD/CME
- 0.15 hours
Share this page
Download the QR code with a link to this page and use it in your presentations or share it on social media.
Download QR code