Case

5.0The average rating is 5 stars out of 5.

Replacement of an Upper Left Persisting Deciduous Canine with a Regular Neck Implant, Restored with a Ceramo-Metal Crown, Horizontally Screw-Retained

Urs C Belser

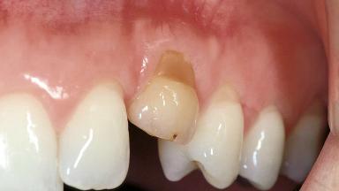
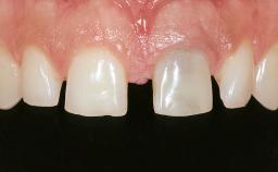
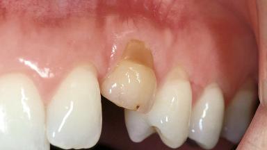
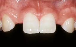
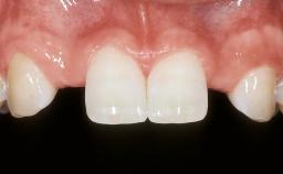
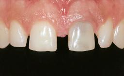
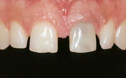
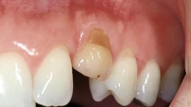
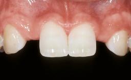
In October 1999, the 35-year-old female patient, a nonsmoker, presented at our clinic with a persisting deciduous canine 63 that displayed all the clinical signs and symptoms of an ankylosed primary tooth, including inadequate crown volume, discoloration, locally perturbed occlusal plane, inharmonious course of the associated soft tissue, advanced root resorption, and increased mobility. The patient had a strong wish for a durable improvement of the situation with a clear emphasis on dental/gingival esthetics. The patient was in good general health, and her medical history revealed no significant findings.

Surgical SAC classification
Complex
Prosthodontic SAC classification
Advanced
Source
Treatment Guide 1
Purchase price
10 Academy Coins
CPD/CME
0.15 hours

General information

Case Type Single-Tooth Space
Jaw Maxilla
Area Anterior
# of Teeth 1
# of Implants 1
Type of Implants One-Piece
Attachment One-Piece
Bone Augmentation Horizontal|Simultaneous
Augmentation Materials Xenogenous
Guided Surgery No
Soft Tissue Grafting Simultaneous
Abutment Type Standard
Prosthesis Type FDP

Esthetic Risk Assessment

Esthetic Risk Factors Low Medium High
Medical Status Healthy Compromised
Smoking Habit Non-smoker Light smoker (< 10 cigarettes per day) Heavy smoker (>= 10 cigarettes per day)
Patient's Esthetic Expectations Low Medium High
Lip Line No exposure of papillae Exposure of papillae Full exposure of mucosa margin
Periodontal Phenotype Low-scalloped, thick Medium-scalloped, medium-thick High-scalloped, thin
Shape of Tooth Crowns Rectangular Triangular
Infection at Implant Site None Chronic Acute
Bone Level at Adjacent Teeth <= 5 mm to contact point 5.5 to 6.5 mm to contact point > 7 mm to contact point
Prosthodontic Status of Neighboring Teeth Virgin Restored
Width of Edentulous Span 1 tooth (>= 7 mm) 1 tooth (< 7 mm) 2 teeth or more
Soft Tissue Anatomy Intact Defective
Bone Volume Horizontally and vertically sufficient Horizontally deficient Deficient vertically or deficient vertically AND horizontally
  • * General SAC assessment modifiers that are also part of the ERA. To avoid redundancy they are listed in this section even if no complete ERA has been made.

  • ** Not applicable to the ERA of immediate placement cases and replaced by "Socket Integrity" listed below under "Surgical SAC Classification". For all other placement types this value is a classification determinant and listed here even if no complete ERA has been made.

Surgical SAC classification

SAC Level Complex
Defining Characteristics One missing tooth to be replaced by an implant-borne crown
Modality -
Placement Protocol Early or late implant placement
Tooth Site -
Socket Morphology -
Socket Integrity -
Bone Volume Deficient vertically or deficient vertically AND horizontally
Anatomic Risk High
Esthetic Risk High
Complexity High
Risk of Complications High

Prosthodontic SAC classification

SAC Level Advanced
Defining Characteristics One missing tooth to be replaced by an implant-borne crown
Loading Protocol Conventional or early
Retention Screw-retained Screw-retained
Maxillomandibular Relationship Angle Class I and III
Mesio-Distal Space Asymmetry greater than 1 mm
Inter-Arch Distance -
Bruxism -
Esthetic Risk High
Provisional Implant-Supported Prosthesis Prosthodontic margin > 3 mm apical to mucosal margin Prosthodontic margin > 3 mm apical to mucosal margin
Interim Prosthesis during Healing Removable Removable
Occlusion/Articulation -
Occlusal Scheme/Issues -

Surgical SAC Modifiers

Periodontal Status Healthy

Prosthodontic SAC Modifiers

Soft Tissue Contour and Volume Significantly deficient

General SAC Modifiers

Oral Hygiene and Compliance Good
Access Adequate
Craniofacial/Skeletal Growth Completed
Publication date: Jan 11, 2015 Last review date: Apr 10, 2023 Next review date: Apr 10, 2026

ITI QR code Mvc

Share this page

Download the QR code with a link to this page and use it in your presentations or share it on social media.

Download QR code
QR code