Case

3.0The average rating is 3 stars out of 5.

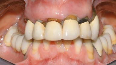
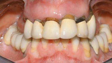
Conventional Loading of Eight Implants in the Maxilla and Final Restoration with a Full-Arch Gold-Ceramic FDP

Matteo Chiapasco

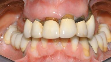
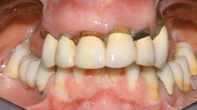
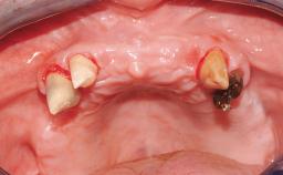
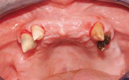
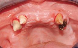
A 35-year-old Caucasian female presenting with advanced periodontal disease involving both the maxillary and the mandibular dentition was referred for evaluation. The patient, a non-smoker in good general health, requested treatment for recurrent periodontal abscesses, tooth mobility, and discomfort during chewing, as well as restoration of her missing teeth with a fixed prosthesis to improve mastication and esthetics. All residual maxillary teeth exhibited plaque deposits, deep pockets, bleeding on probing, and class III mobility and were evaluated as hopeless. All residual mandibular teeth except tooth 37 could be maintained after periodontal therapy.

Surgical SAC classification
Complex
Prosthodontic SAC classification
Complex
Source
Treatment Guide 4
Purchase price
10 Academy Coins
CPD/CME
0.25 hours

General information

Case Type Edentulous Maxilla
Jaw Maxilla
Area Full-Arch
# of Teeth All
# of Implants 8
Type of Implants One-Piece
Attachment One-Piece
Bone Augmentation Horizontal|Staged|Vertical
Augmentation Materials Autogenous block(s)
Guided Surgery No
Soft Tissue Grafting Staged
Abutment Type Standard
Prosthesis Type FDP

Esthetic Risk Assessment

Esthetic Risk Factors Low Medium High
Medical Status Healthy Compromised
Smoking Habit Non-smoker Light smoker (< 10 cigarettes per day) Heavy smoker (>= 10 cigarettes per day)
Patient's Esthetic Expectations Low Medium High
Lip Line No exposure of papillae Exposure of papillae Full exposure of mucosa margin
Periodontal Phenotype Low-scalloped, thick Medium-scalloped, medium-thick High-scalloped, thin
Shape of Tooth Crowns Rectangular Triangular
Infection at Implant Site None Chronic Acute
Bone Level at Adjacent Teeth <= 5 mm to contact point 5.5 to 6.5 mm to contact point > 7 mm to contact point
Prosthodontic Status of Neighboring Teeth Virgin Restored
Width of Edentulous Span 1 tooth (>= 7 mm) 1 tooth (< 7 mm) 2 teeth or more
Soft Tissue Anatomy Intact Defective
Bone Volume Horizontally and vertically sufficient Horizontally deficient Deficient vertically or deficient vertically AND horizontally
  • * General SAC assessment modifiers that are also part of the ERA. To avoid redundancy they are listed in this section even if no complete ERA has been made.

  • ** Not applicable to the ERA of immediate placement cases and replaced by "Socket Integrity" listed below under "Surgical SAC Classification". For all other placement types this value is a classification determinant and listed here even if no complete ERA has been made.

Surgical SAC classification

SAC Level Complex
Defining Characteristics Fully edentulous upper jaw to be rehabilitated with four or more implants
Modality Fixed hybrid bridge on 5+ implants
Placement Protocol -
Tooth Site -
Socket Morphology -
Socket Integrity -
Bone Volume Deficient vertically or deficient vertically AND horizontally
Anatomic Risk High
Esthetic Risk Medium
Complexity High
Risk of Complications High

Prosthodontic SAC classification

SAC Level Complex
Defining Characteristics Fully edentulous upper jaw to be rehabilitated with an implant-borne fixed dental prosthesis
Loading Protocol Conventional or early
Retention Cemented, with prosthesis margin < 3mm submucosal Cemented, with prosthesis margin < 3mm submucosal
Maxillomandibular Relationship -
Mesio-Distal Space -
Inter-Arch Distance Average
Bruxism Absent
Esthetic Risk Medium
Provisional Implant-Supported Prosthesis Prosthodontic margin < 3 mm apical to mucosal crest Prosthodontic margin < 3 mm apical to mucosal crest
Interim Prosthesis during Healing Removable Removable
Occlusion/Articulation -
Occlusal Scheme/Issues Anterior guidance

Surgical SAC Modifiers

Periodontal Status History of periodontitis or genetic predisposition

Prosthodontic SAC Modifiers

Soft Tissue Contour and Volume Significantly deficient

General SAC Modifiers

Oral Hygiene and Compliance Sufficient
Access Adequate
Craniofacial/Skeletal Growth Completed
Publication date: Jan 11, 2015 Last review date: Apr 10, 2023 Next review date: Apr 10, 2026

ITI QR code Mvc

Share this page

Download the QR code with a link to this page and use it in your presentations or share it on social media.

Download QR code
QR code