Congress Lecture

0.0The average rating is 0 stars out of 5.
Prosthodontic Planning and Procedures

Restorative Dentistry in the Era of Digitalization

Irena Sailer

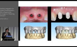
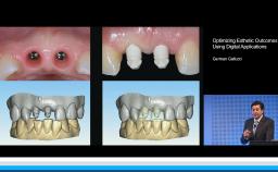
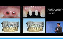
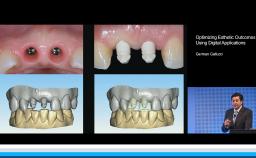
One main topic of interest in prosthodontics is the technological changes that happened in the last years. Digital impressions and computer-aided manufacturing (CAD/CAM) of restorations steadily gain in importance within restorative dentistry. One of the factors raising the attractiveness of computerized procedures is the high variety of new restorative materials which were introduced for the computerized manufacturing. Another is new Augmented Reality treatment communication and planning tools that increase the engagement of the patients.

Another topic of high interest is the reduction of the invasiveness of the treatments. In young patients with pronounced tooth wear low invasive concepts are needed for a biologically oriented rehabilitation. New concepts and approaches, also including digital technologies and new materials will be presented and discussed during the lectures.

The lecture will critically evaluate the possibilities that the new materials and associated technologies offer and will offer selection criteria for daily clinical practice.

After watching this lecture you will be able to

  • Learn about the current digital technologies
  • Learn about the associated new restorative possibilities and workflows
  • Learn about the current restorative material options and their indications
Duration
49 minutes
Source
ITI Academy live webinar
CPD/CME
0.82 hours
Purchase price
25 Academy Coins
Publication date: Nov 8, 2023 Last review date: Oct 30, 2023 Next review date: Oct 30, 2026
  • Congress Lecture
  • English
  • Languages
  • Prosthodontic Planning & Procedures

ITI QR code Mvc

Share this page

Download the QR code with a link to this page and use it in your presentations or share it on social media.

Download QR code
QR code