Congress Lecture

0.0The average rating is 0 stars out of 5.
Surgical Planning and Procedures

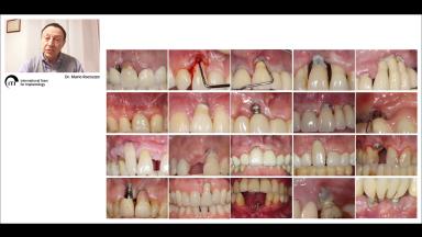
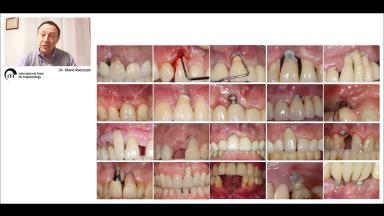
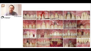
Peri-Implant Soft-Tissue Management and Integration

Mario Roccuzzo

This is a recording of Mario Roccuzzo's ITI Webinar on ITI Academy live.

One of the greatest challenges facing clinicians is to obtain an early and long-standing effective mucosa seal, capable of biologically protecting the peri-implant structures. This is particularly difficult in compromised sites, due to trauma, atrophy, and/or periodontal disease. Recent systematic reviews have confirmed that the presence of an appropriate amount of keratinized mucosa is desirable.

At the end of this webinar you should be able to…

  • understand the difference between osseointegration and soft-tissue integration
  • evaluate peri-implant soft tissues conditions for long-term results
  • identify which conditions are risk factors for implant maintenance
  • determine the situations where soft tissue grating is indicated
Duration
47 minutes
Source
ITI Academy live webinar
CPD/CME
0 hours
Purchase price
0 Academy Coins
Publication date: Jan 29, 2021 Last review date: Jan 22, 2024 Next review date: Jan 22, 2027
  • Congress Lecture
  • English
  • Languages
  • Surgical Planning & Procedures

ITI QR code Mvc

Share this page

Download the QR code with a link to this page and use it in your presentations or share it on social media.

Download QR code
QR code